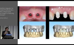
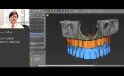
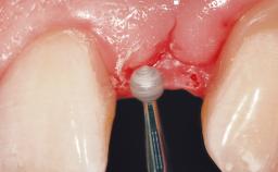
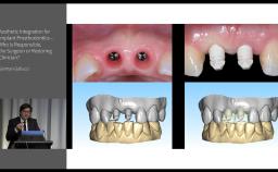
My ITI - German Gallucci
Public ITI profile page of
German Gallucci
Boston, United States
- ITI Fellow
- registered since 2003