
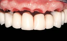
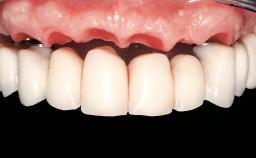
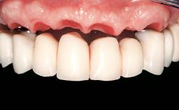
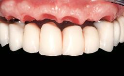
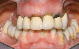
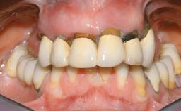
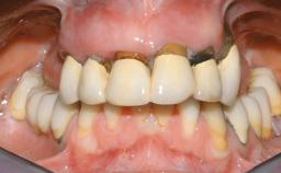
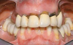
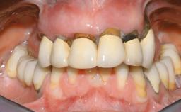
Immediate Loading of Eight Implants in the Maxilla and Six Implants in the Mandible and Final Restoration with Three-Unit and Four-Unit FDPs
Extensive scientific evidence has confirmed that immediately loaded implants with fixed full-arch provisional restorations can osseointegrate with success rates similar to conventionally or delayed loaded implants. A number of immediate-provisionalization techniques for edentulous jaws have been described. Some protocols differ when it comes to prefabricated provisional templates versus complete denture conversion; intrasurgical impressions versus direct relining; and cemented versus screw-retained provisional restorations. In this context, complete-denture conversion has been proposed for either intrasurgical impressions or direct relining. Another possibility is the utilization of a prefabricated provisional to be adapted either in the mouth (by direct relining) or in the laboratory (on a working model obtained from an intrasurgical impression).










General information
Case Type | Edentulous Maxilla |
---|---|
Jaw | Maxilla and Mandible |
Area | Full-Arch |
# of Teeth | All |
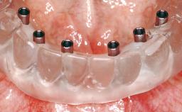
# of Implants | 14 |
Type of Implants | One-Piece |
Attachment | One-Piece |
Bone Augmentation | No |
---|---|
Augmentation Materials | - |
Guided Surgery | No |
Soft Tissue Grafting | None |
Abutment Type | Standard |
Prosthesis Type | FDP |
Esthetic Risk Assessment
Esthetic Risk Factors | Low | Medium | High |
---|---|---|---|
Medical Status | Healthy | Compromised | |
Smoking Habit | Non-smoker | Light smoker (< 10 cigarettes per day) | Heavy smoker (>= 10 cigarettes per day) |
Patient's Esthetic Expectations | Low | Medium | High |
Lip Line | No exposure of papillae | Exposure of papillae | Full exposure of mucosa margin |
Periodontal Phenotype | Low-scalloped, thick | Medium-scalloped, medium-thick | High-scalloped, thin |
Shape of Tooth Crowns | Rectangular | Triangular | |
Infection at Implant Site | None | Chronic | Acute |
Bone Level at Adjacent Teeth | <= 5 mm to contact point | 5.5 to 6.5 mm to contact point | > 7 mm to contact point |
Prosthodontic Status of Neighboring Teeth | Virgin | Restored | |
Width of Edentulous Span | 1 tooth (>= 7 mm) | 1 tooth (< 7 mm) | 2 teeth or more |
Soft Tissue Anatomy | Intact | Defective | |
Bone Volume | Horizontally and vertically sufficient | Horizontally deficient | Deficient vertically or deficient vertically AND horizontally |
* General SAC assessment modifiers that are also part of the ERA. To avoid redundancy they are listed in this section even if no complete ERA has been made.
** Not applicable to the ERA of immediate placement cases and replaced by "Socket Integrity" listed below under "Surgical SAC Classification". For all other placement types this value is a classification determinant and listed here even if no complete ERA has been made.
Surgical SAC classification
SAC Level | Complex |
---|---|
Defining Characteristics | Fully edentulous upper jaw to be rehabilitated with four or more implants |
Modality | 6+ implants with immediate loading |
Placement Protocol | - |
Tooth Site | - |
Socket Morphology | - |
Socket Integrity | - |
Bone Volume | Horizontally and vertically sufficient |
Anatomic Risk | Low |
Esthetic Risk | High |
Complexity | High |
Risk of Complications | High |
Prosthodontic SAC classification
SAC Level | Complex |
---|---|
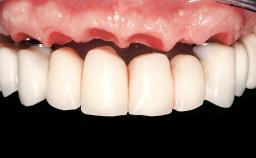
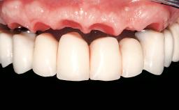
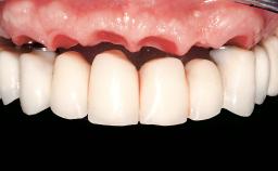
Defining Characteristics | Fully edentulous upper jaw to be rehabilitated with an implant-borne fixed dental prosthesis |
Loading Protocol | Immediate |
Retention | Cemented, with prosthesis margin < 3mm submucosal Cemented, with prosthesis margin < 3mm submucosal |
Maxillomandibular Relationship | - |
Mesio-Distal Space | - |
Inter-Arch Distance | Average |
Bruxism | Absent |
Esthetic Risk | High |
Provisional Implant-Supported Prosthesis | Prosthodontic margin < 3 mm apical to mucosal crest Prosthodontic margin < 3 mm apical to mucosal crest |
Interim Prosthesis during Healing | - - |
Occlusion/Articulation | - |
Occlusal Scheme/Issues | Anterior guidance |
Surgical SAC Modifiers
Periodontal Status | Healthy |
---|
Prosthodontic SAC Modifiers
Soft Tissue Contour and Volume | Slightly compromised |
---|
General SAC Modifiers
Oral Hygiene and Compliance | Sufficient |
---|---|
Access | Adequate |
Craniofacial/Skeletal Growth | Completed |
Share this page
Download the QR code with a link to this page and use it in your presentations or share it on social media.
Download QR code