
Esthetic Integration for Implant Prosthodontics – Who Is Responsible, the Surgeon or Restoring Clinician?
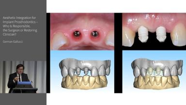
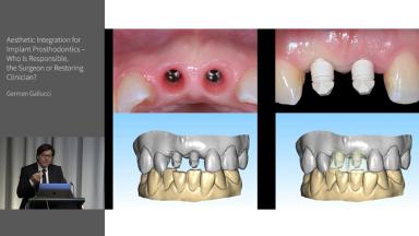
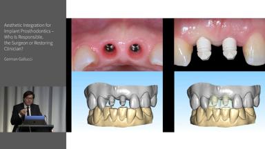
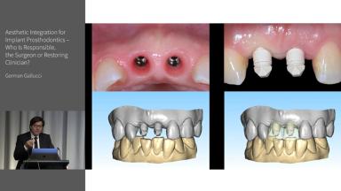
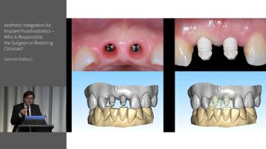
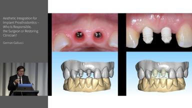
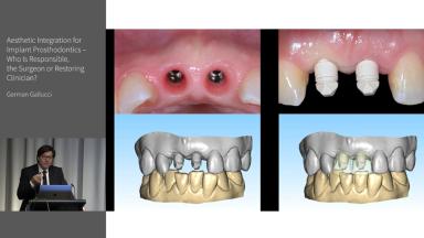
In his lecture, Dr. Gallucci addresses the critical role of interdisciplinary collaboration in implant dentistry, with a focus on the esthetic zone. He emphasizes the necessity of coordinated efforts between the surgical and restorative teams for successful outcomes in anterior zone implantation. Key topics include the precision of surgical implant placement, the importance of preserving soft tissue and contour, and the seamless transition to the prosthetic phase for effective crown loading. Dr. Gallucci also highlights the indispensability of a pre-operative restorative plan, the use of digitally guided treatment planning, and the alignment of the implant's vertical position with the planned prosthesis.

At the end of this Congress Lecture you should be able to…
- explain the importance of collaboration between surgical and restorative teams for successful implant placement in the esthetic zone
- elaborate on the key elements of transitioning from implant placement to the prosthetic phase, ensuring a successful crown loading and esthetic integration
- discuss the shared responsibilities of the surgical and restorative teams and the importance of effective communication for optimal outcomes in implant dentistry









Share this page
Download the QR code with a link to this page and use it in your presentations or share it on social media.
Download QR code