
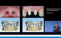
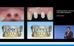
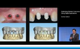
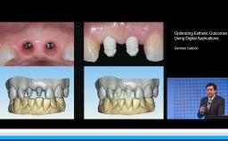
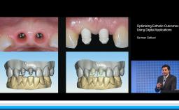
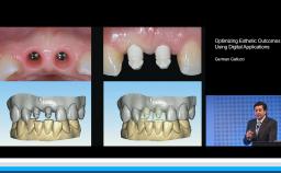
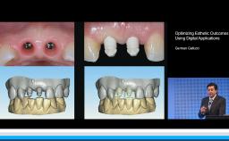
The Expanded Edentulous Space in the Anterior Maxilla – Restorative Considerations
Anthony Dickinson discusses the prosthodontist’s perspective when looking at an expanded edentulous space in the anterior maxilla, including determination of what is really missing, establishing realistic expectations, factors that influence esthetic outcomes, and material and abutment selection.
This lecture is accompanied by two more lectures covering the surgical considerations and the technical considerations when looking at the expanded edentulous space in the anterior maxilla. The series highlights the necessity of communication and teamwork among the involved specialists to be successful with their treatment of the case.

At the end of this congress lecture, you should be able to…
- elaborate on the prosthodontist’s part when dealing with an expanded edentulous space in the anterior maxilla, including managing expectations, esthetic considerations, and selection of material
- discuss the exchange of information necessary between the involved specialists to enable successful treatment as a team










Share this page
Download the QR code with a link to this page and use it in your presentations or share it on social media.
Download QR code