
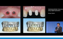
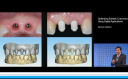
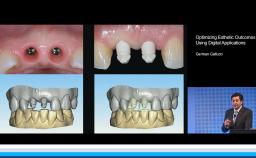
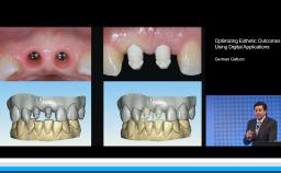
The Expanded Edentulous Space in the Anterior Maxilla – Technical Considerations
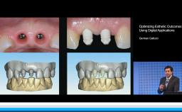
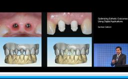
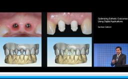
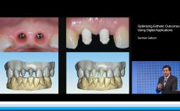
John Lucas elaborates on the dental technician’s perspective on treating such cases, highlighting the information he needs to receive to be able to deliver the best results, the specific challenges a technician faces, and issues that can come up along the way.
This lecture is accompanied by two more lectures covering the surgical considerations and the restorative considerations when looking at the expanded edentulous space in the anterior maxilla. The series highlights the necessity of communication and teamwork among the involved specialists to be successful with their treatment of the case.

At the end of this congress lecture, you should be able to…
- elaborate on the dental technician’s role and the specific challenges he faces when dealing with an expanded edentulous space in the anterior maxilla
- discuss the exchange of information necessary between the involved specialists to enable successful treatment as a team










Share this page
Download the QR code with a link to this page and use it in your presentations or share it on social media.
Download QR code