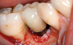
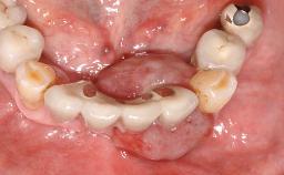
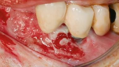
Peri-implant Carcinoma
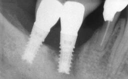
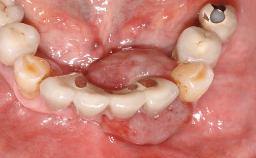
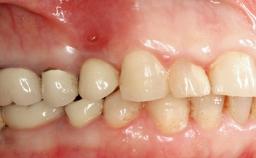
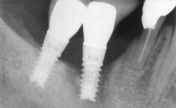
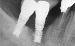
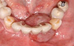
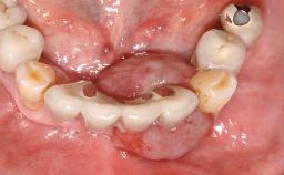
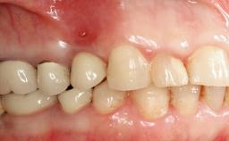
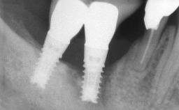
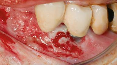
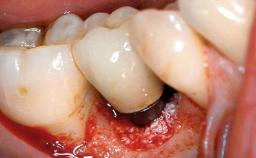
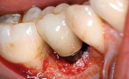
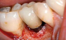
Oral implants are highly successful and offer long-term benefits, especially in the rehabilitation of edentulous patients or patients with oral defects following ablative tumor surgery (Albrektsson and coworkers 1986), and also after radiation therapy (Schiegnitz and coworkers 2014). With the number of implants placed globally going into the millions, implant dentists have observed some rare adverse events. Although carcinogenesis around implants is an exceedingly rare phenomenon, we recently reported about 15 patients treated for carcinomas adjacent to implants at our clinical department over a period of fifteen years (Moergel and coworkers 2014). The following case represents a patient of this cohort; it discusses possible risk factors and makes suggestions for a recall schedule. A 70-year-old woman was referred to our outpatient department for evaluation of a rapidly growing macroscopic alteration of the mucosa in the left mandible.
General information
| Case Type | Extended Space |
|---|---|
| Jaw | Mandible |
| Area | Posterior |
| # of Teeth | 7 |
| # of Implants | 4 |
| Type of Implants | One-Piece |
| Attachment | One-Piece |
| Bone Augmentation | No |
|---|---|
| Augmentation Materials | - |
| Guided Surgery | No |
| Soft Tissue Grafting | None |
| Abutment Type | Standard |
| Prosthesis Type | FDP |
Esthetic Risk Assessment
| Esthetic Risk Factors | Low | Medium | High |
|---|---|---|---|
| Medical Status | Healthy | Compromised | |
| Smoking Habit | Non-smoker | Light smoker (< 10 cigarettes per day) | Heavy smoker (>= 10 cigarettes per day) |
| Patient's Esthetic Expectations | Low | Medium | High |
| Lip Line | No exposure of papillae | Exposure of papillae | Full exposure of mucosa margin |
| Periodontal Phenotype | Low-scalloped, thick | Medium-scalloped, medium-thick | High-scalloped, thin |
| Shape of Tooth Crowns | Rectangular | Triangular | |
| Infection at Implant Site | None | Chronic | Acute |
| Bone Level at Adjacent Teeth | <= 5 mm to contact point | 5.5 to 6.5 mm to contact point | > 7 mm to contact point |
| Prosthodontic Status of Neighboring Teeth | Virgin | Restored | |
| Width of Edentulous Span | 1 tooth (>= 7 mm) | 1 tooth (< 7 mm) | 2 teeth or more |
| Soft Tissue Anatomy | Intact | Defective | |
| Bone Volume | Horizontally and vertically sufficient | Horizontally deficient | Deficient vertically or deficient vertically AND horizontally |
* General SAC assessment modifiers that are also part of the ERA. To avoid redundancy they are listed in this section even if no complete ERA has been made.
** Not applicable to the ERA of immediate placement cases and replaced by "Socket Integrity" listed below under "Surgical SAC Classification". For all other placement types this value is a classification determinant and listed here even if no complete ERA has been made.
Surgical SAC classification
| SAC Level | Straightforward |
|---|---|
| Defining Characteristics | More than three missing teeth to be replaced with an implant-borne prosthesis or prostheses |
| Modality | - |
| Placement Protocol | Early or late implant placement |
| Tooth Site | - |
| Socket Morphology | - |
| Socket Integrity | - |
| Bone Volume | Horizontally and vertically sufficient |
| Anatomic Risk | Low |
| Esthetic Risk | Low |
| Complexity | Moderate |
| Risk of Complications | Low |
Prosthodontic SAC classification
| SAC Level | Straightforward |
|---|---|
| Defining Characteristics | Up to three missing teeth to be replaced with an implant-borne restoration or restorations |
| Loading Protocol | Conventional or early |
| Retention | Cemented, with prosthesis margin < 3mm submucosal Cemented, with prosthesis margin < 3mm submucosal |
| Maxillomandibular Relationship | - |
| Mesio-Distal Space | Anatomic space corresponding to the missing teeth +/- 1 mm |
| Inter-Arch Distance | > 8 mm |
| Bruxism | Absent |
| Esthetic Risk | Low |
| Provisional Implant-Supported Prosthesis | Prosthodontic margin < 3 mm apical to mucosal crest Prosthodontic margin < 3 mm apical to mucosal crest |
| Interim Prosthesis during Healing | - - |
| Occlusion/Articulation | Harmonious |
| Occlusal Scheme/Issues | - |
Surgical SAC Modifiers
| Periodontal Status | History of periodontitis or genetic predisposition |
|---|
Prosthodontic SAC Modifiers
| Soft Tissue Contour and Volume | - |
|---|
General SAC Modifiers
| Oral Hygiene and Compliance | Sufficient |
|---|---|
| Access | Adequate |
| Craniofacial/Skeletal Growth | Completed |
Share this page
Download the QR code with a link to this page and use it in your presentations or share it on social media.
Download QR code