
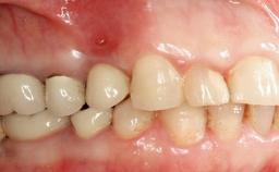
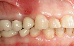
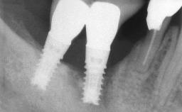
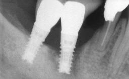
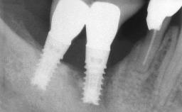
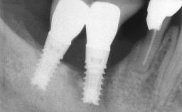
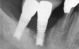
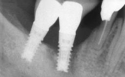
Management of a Fractured Implant Supporting a Screw-retained Metal-ceramic Restoration
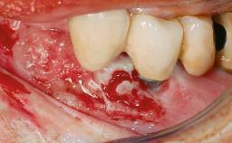
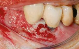
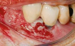
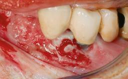
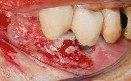
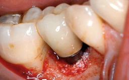
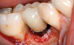
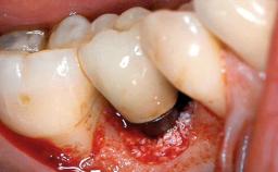
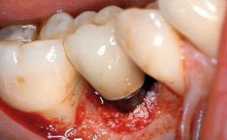
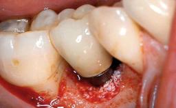
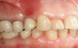
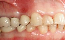
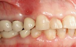
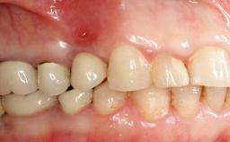
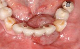
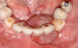
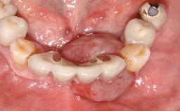
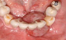
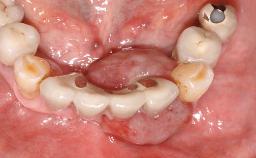
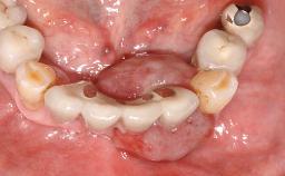
The fracture of an implant after it has been restored is one of the most severe complications. It most frequently occurs in partially edentulous jaws (1.5%). Most implant fractures involve implants with a diameter of 3.75 mm made of commercially pure titanium (Eckert 2010). Unfortunately, many cases are not reported or documented by the clinicians involved in resolving the problems created by the fracture. This case report describes the management of an implant fracture at site 36 in a middle-aged male patient. The implant had been restored with a screw-retained metal-ceramic crown.










General information
Case Type | Single-Tooth Space |
---|---|
Jaw | Mandible |
Area | Posterior |
# of Teeth | 1 |
# of Implants | 1 |
Type of Implants | Two-Piece |
Attachment | Two-Piece |
Bone Augmentation | No |
---|---|
Augmentation Materials | - |
Guided Surgery | No |
Soft Tissue Grafting | None |
Abutment Type | Standard |
Prosthesis Type | FDP |
Esthetic Risk Assessment
Esthetic Risk Factors | Low | Medium | High |
---|---|---|---|
Medical Status | Healthy | Compromised | |
Smoking Habit | Non-smoker | Light smoker (< 10 cigarettes per day) | Heavy smoker (>= 10 cigarettes per day) |
Patient's Esthetic Expectations | Low | Medium | High |
Lip Line | No exposure of papillae | Exposure of papillae | Full exposure of mucosa margin |
Periodontal Phenotype | Low-scalloped, thick | Medium-scalloped, medium-thick | High-scalloped, thin |
Shape of Tooth Crowns | Rectangular | Triangular | |
Infection at Implant Site | None | Chronic | Acute |
Bone Level at Adjacent Teeth | <= 5 mm to contact point | 5.5 to 6.5 mm to contact point | > 7 mm to contact point |
Prosthodontic Status of Neighboring Teeth | Virgin | Restored | |
Width of Edentulous Span | 1 tooth (>= 7 mm) | 1 tooth (< 7 mm) | 2 teeth or more |
Soft Tissue Anatomy | Intact | Defective | |
Bone Volume | Horizontally and vertically sufficient | Horizontally deficient | Deficient vertically or deficient vertically AND horizontally |
* General SAC assessment modifiers that are also part of the ERA. To avoid redundancy they are listed in this section even if no complete ERA has been made.
** Not applicable to the ERA of immediate placement cases and replaced by "Socket Integrity" listed below under "Surgical SAC Classification". For all other placement types this value is a classification determinant and listed here even if no complete ERA has been made.
Surgical SAC classification
SAC Level | Straightforward |
---|---|
Defining Characteristics | One missing tooth to be replaced by an implant-borne prosthesis |
Modality | - |
Placement Protocol | Early or late implant placement |
Tooth Site | - |
Socket Morphology | - |
Socket Integrity | - |
Bone Volume | Horizontally and vertically sufficient |
Anatomic Risk | Low |
Esthetic Risk | Low |
Complexity | Low |
Risk of Complications | Low |
Prosthodontic SAC classification
SAC Level | Straightforward |
---|---|
Defining Characteristics | One missing tooth to be replaced by an implant-borne crown |
Loading Protocol | Conventional or early |
Retention | Screw-retained Screw-retained |
Maxillomandibular Relationship | - |
Mesio-Distal Space | Anatomic space corresponding to the missing tooth +/- 1 mm |
Inter-Arch Distance | Ideal tooth height +/- 1 mm |
Bruxism | Absent |
Esthetic Risk | Low |
Provisional Implant-Supported Prosthesis | - - |
Interim Prosthesis during Healing | - - |
Occlusion/Articulation | - |
Occlusal Scheme/Issues | - |
Surgical SAC Modifiers
Periodontal Status | Healthy |
---|
Prosthodontic SAC Modifiers
Soft Tissue Contour and Volume | - |
---|
General SAC Modifiers
Oral Hygiene and Compliance | Good |
---|---|
Access | Adequate |
Craniofacial/Skeletal Growth | Completed |
Share this page
Download the QR code with a link to this page and use it in your presentations or share it on social media.
Download QR code