
Peri-implantitis Treated by an Antimicrobial and Regenerative Approach
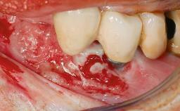
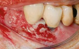
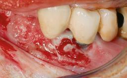
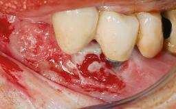
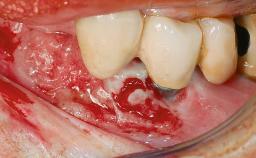
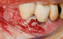
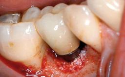
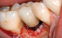
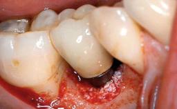
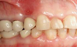
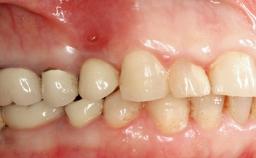
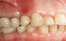
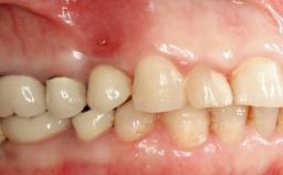
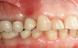
A 73-year-old woman was referred to the Division of Periodontology (University of Geneva School of Dental Medicine) after repeated unsuccessful treatment of a peri-implant infection. She was systemically healthy and did not smoke. The patient’s history revealed that, three years earlier, an immediate implant (Straumann Tapered Effect RN 4.8/4.1; Institut Straumann AG, Basel, Switzerland) had been inserted to replace the upper right central incisor. A metal-ceramic crown had been delivered using an adhesive resin cement. One year later, the patient had consulted another dentist due to discomfort in the soft tissues in the implant region. There was a suppurating peri-implant pocket, 10 mm deep. Peri-implant bone loss and excess luting cement were seen on the radiograph. The situation was treated with non-surgical debridement, amoxicillin, and repeated submucosal irrigation with a chlorhexidine digluconate solution. The patient was referred after the suppuration had persisted for several months.










General information
Case Type | Single-Tooth Space |
---|---|
Jaw | Maxilla |
Area | Anterior |
# of Teeth | 1 |
# of Implants | 1 |
Type of Implants | One-Piece |
Attachment | One-Piece |
Bone Augmentation | No |
---|---|
Augmentation Materials | - |
Guided Surgery | No |
Soft Tissue Grafting | None |
Abutment Type | Standard |
Prosthesis Type | FDP |
Esthetic Risk Assessment
Esthetic Risk Factors | Low | Medium | High |
---|---|---|---|
Medical Status | Healthy | Compromised | |
Smoking Habit | Non-smoker | Light smoker (< 10 cigarettes per day) | Heavy smoker (>= 10 cigarettes per day) |
Patient's Esthetic Expectations | Low | Medium | High |
Lip Line | No exposure of papillae | Exposure of papillae | Full exposure of mucosa margin |
Periodontal Phenotype | Low-scalloped, thick | Medium-scalloped, medium-thick | High-scalloped, thin |
Shape of Tooth Crowns | Rectangular | Triangular | |
Infection at Implant Site | None | Chronic | Acute |
Bone Level at Adjacent Teeth | <= 5 mm to contact point | 5.5 to 6.5 mm to contact point | > 7 mm to contact point |
Prosthodontic Status of Neighboring Teeth | Virgin | Restored | |
Width of Edentulous Span | 1 tooth (>= 7 mm) | 1 tooth (< 7 mm) | 2 teeth or more |
Soft Tissue Anatomy | Intact | Defective | |
Bone Volume | Horizontally and vertically sufficient | Horizontally deficient | Deficient vertically or deficient vertically AND horizontally |
* General SAC assessment modifiers that are also part of the ERA. To avoid redundancy they are listed in this section even if no complete ERA has been made.
** Not applicable to the ERA of immediate placement cases and replaced by "Socket Integrity" listed below under "Surgical SAC Classification". For all other placement types this value is a classification determinant and listed here even if no complete ERA has been made.
Surgical SAC classification
SAC Level | Complex |
---|---|
Defining Characteristics | One missing tooth to be replaced by an implant-borne prosthesis |
Modality | - |
Placement Protocol | Immediate implant placement |
Tooth Site | Maxillary incisor or canine |
Socket Morphology | Single-root socket |
Socket Integrity | Sufficient, with intact bone walls |
Bone Volume | Sufficient, with intact walls |
Anatomic Risk | Low |
Esthetic Risk | Medium |
Complexity | Moderate |
Risk of Complications | High |
Prosthodontic SAC classification
SAC Level | Advanced |
---|---|
Defining Characteristics | One missing tooth to be replaced by an implant-borne crown |
Loading Protocol | Conventional or early |
Retention | Cemented, with prosthesis margin > 3mm submucosal Cemented, with prosthesis margin > 3mm submucosal |
Maxillomandibular Relationship | Angle Class I and III |
Mesio-Distal Space | Symmetry +/- 1 mm of contra-lateral tooth |
Inter-Arch Distance | - |
Bruxism | - |
Esthetic Risk | Medium |
Provisional Implant-Supported Prosthesis | - - |
Interim Prosthesis during Healing | - - |
Occlusion/Articulation | - |
Occlusal Scheme/Issues | - |
Surgical SAC Modifiers
Periodontal Status | Healthy |
---|
Prosthodontic SAC Modifiers
Soft Tissue Contour and Volume | Ideal |
---|
General SAC Modifiers
Oral Hygiene and Compliance | Good |
---|---|
Access | Adequate |
Craniofacial/Skeletal Growth | Completed |
Share this page
Download the QR code with a link to this page and use it in your presentations or share it on social media.
Download QR code