
Immediate Loading of Two Implants in the Mandible and Final Restoration with a Bar-Supported RDP
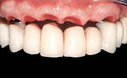
A 56-year-old female patient was referred to the clinic because of retention problems with her mandibular denture. She had been completely edentulous for more than 33 years and wore her sixth set of complete conventional dentures, which had been delivered 5 years previously. An oral surgeon had performed a vestibuloplasty in the interforaminal region of the mandible with a piece of skin tissue 12 years earlier. The panoramic radiograph and lateral cephalometric radiograph exhibited the hypotrophy of the inferior alveolar process. The mandible was a Cawood class VI,and the height of the mandible in the interforaminal zone was 15 mm.










General information
Case Type | Edentulous Mandible |
---|---|
Jaw | Mandible |
Area | Full-Arch |
# of Teeth | All |
# of Implants | 2 |
Type of Implants | One-Piece |
Attachment | One-Piece |
Bone Augmentation | No |
---|---|
Augmentation Materials | - |
Guided Surgery | No |
Soft Tissue Grafting | None |
Abutment Type | Standard |
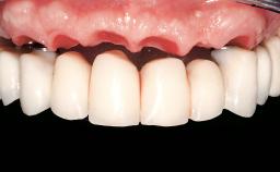
Prosthesis Type | RDP |
Esthetic Risk Assessment
Esthetic Risk Factors | Low | Medium | High |
---|---|---|---|
Medical Status | Healthy | Compromised | |
Smoking Habit | Non-smoker | Light smoker (< 10 cigarettes per day) | Heavy smoker (>= 10 cigarettes per day) |
Patient's Esthetic Expectations | Low | Medium | High |
Lip Line | No exposure of papillae | Exposure of papillae | Full exposure of mucosa margin |
Periodontal Phenotype | Low-scalloped, thick | Medium-scalloped, medium-thick | High-scalloped, thin |
Shape of Tooth Crowns | Rectangular | Triangular | |
Infection at Implant Site | None | Chronic | Acute |
Bone Level at Adjacent Teeth | <= 5 mm to contact point | 5.5 to 6.5 mm to contact point | > 7 mm to contact point |
Prosthodontic Status of Neighboring Teeth | Virgin | Restored | |
Width of Edentulous Span | 1 tooth (>= 7 mm) | 1 tooth (< 7 mm) | 2 teeth or more |
Soft Tissue Anatomy | Intact | Defective | |
Bone Volume | Horizontally and vertically sufficient | Horizontally deficient | Deficient vertically or deficient vertically AND horizontally |
* General SAC assessment modifiers that are also part of the ERA. To avoid redundancy they are listed in this section even if no complete ERA has been made.
** Not applicable to the ERA of immediate placement cases and replaced by "Socket Integrity" listed below under "Surgical SAC Classification". For all other placement types this value is a classification determinant and listed here even if no complete ERA has been made.
Surgical SAC classification
SAC Level | Straightforward |
---|---|
Defining Characteristics | Fully edentulous lower jaw to be rehabilitated with two or more implants |
Modality | 2 interforaminal implants |
Placement Protocol | - |
Tooth Site | - |
Socket Morphology | - |
Socket Integrity | - |
Bone Volume | Horizontally and vertically sufficient |
Anatomic Risk | Low |
Esthetic Risk | Low |
Complexity | Low |
Risk of Complications | Low |
Prosthodontic SAC classification
SAC Level | Advanced |
---|---|
Defining Characteristics | Fully edentulous lower jaw to be rehabilitated with an implant-borne removable overdenture |
Loading Protocol | Immediate (bar only) |
Retention | - - |
Maxillomandibular Relationship | - |
Mesio-Distal Space | - |
Inter-Arch Distance | - |
Bruxism | Absent |
Esthetic Risk | Low |
Provisional Implant-Supported Prosthesis | - - |
Interim Prosthesis during Healing | - - |
Occlusion/Articulation | - |
Occlusal Scheme/Issues | Balanced |
Surgical SAC Modifiers
Periodontal Status | Healthy |
---|
Prosthodontic SAC Modifiers
Soft Tissue Contour and Volume | - |
---|
General SAC Modifiers
Oral Hygiene and Compliance | Good |
---|---|
Access | Adequate |
Craniofacial/Skeletal Growth | Completed |
Share this page
Download the QR code with a link to this page and use it in your presentations or share it on social media.
Download QR code