
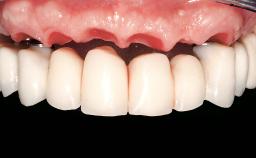
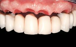
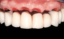
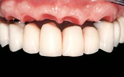
Conventional Loading of Six Implants in the Mandible and Final Restoration with a Full-Arch Metal-Ceramic FDP
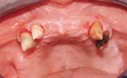
A 68-year-old, completely edentulous male patient presented for evaluation and treatment options. He reported excellent general health and was taking no regular medication. He had been edentulous for approximately 12 years, having lost his teeth to periodontal disease and dental caries. The patient’s chief complaint was incompetent function. His secondary concerns included his appearance and the desire for a predictable outcome. He attributed his reduced functional capacity to his lower complete denture, which he described as poor. He was particularly concerned with the denture’s instability and poor fit. In general terms, he was satisfied with the maxillary complete prosthesis. The maxillary prosthesis was characterized by adequate retention, stability, and support, although the fit was considered less than ideal.










General information
Case Type | Edentulous Mandible |
---|---|
Jaw | Mandible |
Area | Full-Arch |
# of Teeth | All |
# of Implants | 6 |
Type of Implants | One-Piece |
Attachment | One-Piece |
Bone Augmentation | No |
---|---|
Augmentation Materials | - |
Guided Surgery | No |
Soft Tissue Grafting | None |
Abutment Type | Standard |
Prosthesis Type | FDP |
Esthetic Risk Assessment
Esthetic Risk Factors | Low | Medium | High |
---|---|---|---|
Medical Status | Healthy | Compromised | |
Smoking Habit | Non-smoker | Light smoker (< 10 cigarettes per day) | Heavy smoker (>= 10 cigarettes per day) |
Patient's Esthetic Expectations | Low | Medium | High |
Lip Line | No exposure of papillae | Exposure of papillae | Full exposure of mucosa margin |
Periodontal Phenotype | Low-scalloped, thick | Medium-scalloped, medium-thick | High-scalloped, thin |
Shape of Tooth Crowns | Rectangular | Triangular | |
Infection at Implant Site | None | Chronic | Acute |
Bone Level at Adjacent Teeth | <= 5 mm to contact point | 5.5 to 6.5 mm to contact point | > 7 mm to contact point |
Prosthodontic Status of Neighboring Teeth | Virgin | Restored | |
Width of Edentulous Span | 1 tooth (>= 7 mm) | 1 tooth (< 7 mm) | 2 teeth or more |
Soft Tissue Anatomy | Intact | Defective | |
Bone Volume | Horizontally and vertically sufficient | Horizontally deficient | Deficient vertically or deficient vertically AND horizontally |
* General SAC assessment modifiers that are also part of the ERA. To avoid redundancy they are listed in this section even if no complete ERA has been made.
** Not applicable to the ERA of immediate placement cases and replaced by "Socket Integrity" listed below under "Surgical SAC Classification". For all other placement types this value is a classification determinant and listed here even if no complete ERA has been made.
Surgical SAC classification
SAC Level | Advanced |
---|---|
Defining Characteristics | Fully edentulous lower jaw to be rehabilitated with two or more implants |
Modality | > 4 implants, extending to mental nerve region |
Placement Protocol | - |
Tooth Site | - |
Socket Morphology | - |
Socket Integrity | - |
Bone Volume | Horizontally and vertically sufficient |
Anatomic Risk | Moderate |
Esthetic Risk | Low |
Complexity | Moderate |
Risk of Complications | Moderate |
Prosthodontic SAC classification
SAC Level | Complex |
---|---|
Defining Characteristics | Fully edentulous lower jaw to be rehabilitated with an implant-borne fixed dental prosthesis |
Loading Protocol | Conventional/early |
Retention | Screw-retained, with 4 or more splinted implants Screw-retained, with 4 or more splinted implants |
Maxillomandibular Relationship | - |
Mesio-Distal Space | - |
Inter-Arch Distance | Adequate |
Bruxism | Absent |
Esthetic Risk | Low |
Provisional Implant-Supported Prosthesis | - - |
Interim Prosthesis during Healing | Removable Removable |
Occlusion/Articulation | - |
Occlusal Scheme/Issues | No anterior guidance |
Surgical SAC Modifiers
Periodontal Status | Healthy |
---|
Prosthodontic SAC Modifiers
Soft Tissue Contour and Volume | - |
---|
General SAC Modifiers
Oral Hygiene and Compliance | Good |
---|---|
Access | Adequate |
Craniofacial/Skeletal Growth | Completed |
Share this page
Download the QR code with a link to this page and use it in your presentations or share it on social media.
Download QR code