
Immediate Loading of Six Implants in the Mandible and Six Implants in the Maxilla and Final Restoration with Full-Arch CAD/CAM Metal Framework FDPs Involving Digital Planning and Guided Surgery
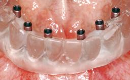
Immediate loading of dental implants is increasingly popular with clinicians and patients. The idea of delivering a restoration directly after implant insertion,combined with a less invasive procedure (flapless protocol), has made treatment protocols involving dental implants more accessible to dentists and patients. However,immediate-loading concepts require sophisticated and exact planning. To facilitate this, conventional panoramic tomographs and periapical radiographs are often taken with the patient wearing a radiographic template simulating the preoperative prosthetic design. However, these radiographs do not provide all the necessary information. In addition, some protocols call for conventional surgical templates fabricated on the diagnostic cast. These will inform the bone drilling points and drill angles, but do not reference the underlying anatomical structures or provide exact 3-D guidance.










General information
Case Type | Edentulous Maxilla |
---|---|
Jaw | Maxilla and Mandible |
Area | Anterior |
# of Teeth | All |
# of Implants | 12 |
Type of Implants | One-Piece |
Attachment | One-Piece |
Bone Augmentation | No |
---|---|
Augmentation Materials | - |
Guided Surgery | Yes |
Soft Tissue Grafting | None |
Abutment Type | CAD/CAM |
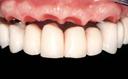
Prosthesis Type | FDP |
Esthetic Risk Assessment
Esthetic Risk Factors | Low | Medium | High |
---|---|---|---|
Medical Status | Healthy | Compromised | |
Smoking Habit | Non-smoker | Light smoker (< 10 cigarettes per day) | Heavy smoker (>= 10 cigarettes per day) |
Patient's Esthetic Expectations | Low | Medium | High |
Lip Line | No exposure of papillae | Exposure of papillae | Full exposure of mucosa margin |
Periodontal Phenotype | Low-scalloped, thick | Medium-scalloped, medium-thick | High-scalloped, thin |
Shape of Tooth Crowns | Rectangular | Triangular | |
Infection at Implant Site | None | Chronic | Acute |
Bone Level at Adjacent Teeth | <= 5 mm to contact point | 5.5 to 6.5 mm to contact point | > 7 mm to contact point |
Prosthodontic Status of Neighboring Teeth | Virgin | Restored | |
Width of Edentulous Span | 1 tooth (>= 7 mm) | 1 tooth (< 7 mm) | 2 teeth or more |
Soft Tissue Anatomy | Intact | Defective | |
Bone Volume | Horizontally and vertically sufficient | Horizontally deficient | Deficient vertically or deficient vertically AND horizontally |
* General SAC assessment modifiers that are also part of the ERA. To avoid redundancy they are listed in this section even if no complete ERA has been made.
** Not applicable to the ERA of immediate placement cases and replaced by "Socket Integrity" listed below under "Surgical SAC Classification". For all other placement types this value is a classification determinant and listed here even if no complete ERA has been made.
Surgical SAC classification
SAC Level | Complex |
---|---|
Defining Characteristics | Fully edentulous upper jaw to be rehabilitated with four or more implants |
Modality | 6+ implants with immediate loading |
Placement Protocol | - |
Tooth Site | - |
Socket Morphology | - |
Socket Integrity | - |
Bone Volume | Horizontally and vertically sufficient |
Anatomic Risk | Low |
Esthetic Risk | Medium |
Complexity | High |
Risk of Complications | High |
Prosthodontic SAC classification
SAC Level | Complex |
---|---|
Defining Characteristics | Fully edentulous upper jaw to be rehabilitated with an implant-borne fixed dental prosthesis |
Loading Protocol | Immediate |
Retention | Screw-retained, with 4 or more splinted implants Screw-retained, with 4 or more splinted implants |
Maxillomandibular Relationship | - |
Mesio-Distal Space | - |
Inter-Arch Distance | Average |
Bruxism | Absent |
Esthetic Risk | Medium |
Provisional Implant-Supported Prosthesis | - - |
Interim Prosthesis during Healing | - - |
Occlusion/Articulation | - |
Occlusal Scheme/Issues | Anterior guidance |
Surgical SAC Modifiers
Periodontal Status | Healthy |
---|
Prosthodontic SAC Modifiers
Soft Tissue Contour and Volume | Slightly compromised |
---|
General SAC Modifiers
Oral Hygiene and Compliance | Sufficient |
---|---|
Access | Adequate |
Craniofacial/Skeletal Growth | Completed |
Share this page
Download the QR code with a link to this page and use it in your presentations or share it on social media.
Download QR code