Pathway

Prosthodontic Planning and Procedures

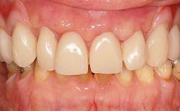
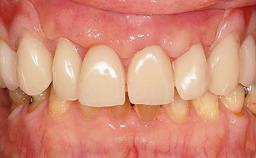
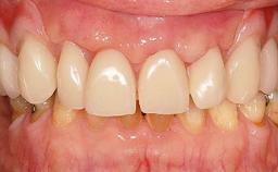
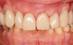
Fixed vs. Removable Prosthodontics for Restoring the Edentulous Maxilla

Fixed and removable prosthodontic implant therapy for restoration of the edentulous maxilla is both complex and challenging. Careful assessment and planning is needed in each individual case to explore whether a fixed or a removable solution will be the more suitable to satisfy the patient’s preference for optimal esthetics, phonetics, comfort and function. This Learning Pathway explores the prosthodontically driven treatment planning based on structured assessment, considered diagnosis and practical application in clinical case examples.

On completion of this course you should be able to...

  • identify decisive factors based on structured assessment and treatment planning
  • recognize the importance of a prosthodontically driven plan and of planning implant configurations and placement accordingly
  • describe the role of additional investigation by 3D reformatted scans in assisting treatment planning



Publication date: Nov 13, 2025 Last review date: Nov 13, 2025 Next review date: Nov 13, 2028
Edentulous Maxilla Fixed vs. Removable Prosthodontics Planning Principles Prosthodontic Planning & Procedures Prosthodontic Planning & Procedures