Congress Lecture

0.0The average rating is 0 stars out of 5.
Prosthodontic Planning and Procedures

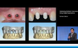
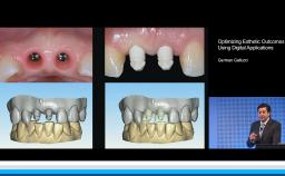
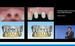
Prosthetic Solutions for Vertical Tissue Deficiencies

This lecture addresses the clinical challenges of addressing vertical tissue deficiencies in patients with esthetic demands. A literature review is presented that highlights publications that address treatment of patients with compromised esthetic situations due to these tissue deficiencies.

The speaker offers clinical recommendations to address single- and extended-tooth situations that require pink tissue replacement, with the goal of creating harmonious soft tissue contours and balanced relative tooth dimensions. Advantages and disadvantages to prosthetic tissue replacement are also covered in detail.

At the end of this Congress Lecture you should be able to…

  • diagnose vertical tissue deficiencies that will require prosthetic tissue replacement
  • understand prosthetic limitations to addressing vertical deficiencies
  • discuss clinical techniques to overcome missing tissue around implants
  • understand the limitations and requirements for establishing ideal contours of the prosthetic tissue replacement that can be maintained by the patient
Duration
32 min.
Learner Level
Event
ITI World Symposium 2014
CME/CPD
0.53 hours
Purchase price
16
You must be logged in to access or purchase this item.
There is a wealth of resources you can access by signing up as an ITI Member. Learn more about ITI membership benefits.
Publication date: Apr 29, 2015 Last review date: Apr 23, 2023 Next review date: Apr 23, 2026
3 - Proficient to Expert Congress Lecture English Languages Prosthodontic Planning & Procedures

ITI QR code Mvc

Share this page

Download the QR code with a link to this page and use it in your presentations or share it on social media.

Download QR code
QR code