Congress Lecture

0.0The average rating is 0 stars out of 5.
Prosthodontic Planning and Procedures

Digital Imaging in the Restorative Planning

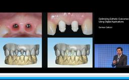
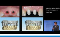
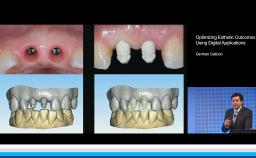
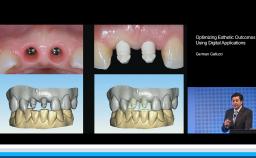
This lecture addresses role of digital imaging in restorative dentistry and discusses its use in facial, dentolabial, phonetic, and dental analysis. This presentation demonstrates the use of imported digital images, an iPad, and the free application iDraw for step-by-step facial analysis of a patient. The lecturer then demonstrates, the design of the smile line, first on the computer and then clinically. Transformation of 2D digital images to 3D images using the DSD Connect software is described. The lecture concludes with a clinical case carried out digitally from start to finish using intraoral scans and CBCT for implant planning and guided surgery.

At the end of this Congress Lecture you should be able to…

  • discuss the role of digital imaging in restorative dentistry

  • describe facial, dentolabial, phonetic, and dental analysis

  • apply digital imaging in restorative dental practice using available software applications

Duration
26 min.
Learner Level
Event
ITI Congress Brazil 2015
CME/CPD
0.43 hours
Purchase price
13
You must be logged in to access or purchase this item.
There is a wealth of resources you can access by signing up as an ITI Member. Learn more about ITI membership benefits.
Publication date: Apr 3, 2017 Last review date: Mar 28, 2023 Next review date: Mar 28, 2026
3 - Proficient to Expert Congress Lecture English Languages Prosthodontic Planning & Procedures

ITI QR code Mvc

Share this page

Download the QR code with a link to this page and use it in your presentations or share it on social media.

Download QR code
QR code