Congress Lecture

5.0The average rating is 5 stars out of 5.
Prosthodontic Planning and Procedures

Digital Workflow for Fixed Implant Rehabilitation of the Edentulous Jaw

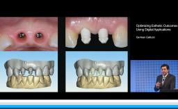
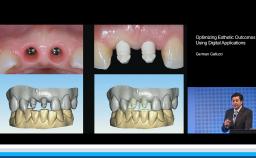
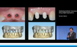
This lecture describes the treatment approach using a digital workflow for fixed implant rehabilitation of edentulous jaws. Treatment sequence, implant number and distribution, and the implant-prosthetic design are all thoroughly discussed. The speaker presents a detailed approach to full-arch rehabilitation using the digital workflow, which includes immediate loading with fixed screw-retained provisional prostheses during the healing phase. Other techniques presented include use of transitional implants and segmentation of full-arch prostheses. Evidence is presented on digital versus conventional implant impressions and the anterior-posterior distribution of implants in relation to survival.

At the end of this Congress Lecture you should be able to…

  • describe the appropriate number and location of implants in the fixed rehabilitation of the edentulous patient
  • discuss the advantages of virtual planning to reduce risk of failures
  • describe the various approaches in rehabilitating the edentulous patient using the digital work flow
  • describe an alternative method to immediate loading using fixed screw-retained provisional prostheses
Duration
45 min.
Learner Level
Event
ITI Congress Middle East 2018
CME/CPD
0.77 hours
Purchase price
23
You must be logged in to access or purchase this item.
There is a wealth of resources you can access by signing up as an ITI Member. Learn more about ITI membership benefits.
Publication date: May 3, 2019 Last review date: Apr 26, 2023 Next review date: Apr 26, 2026
3 - Proficient to Expert Congress Lecture English Languages Prosthodontic Planning & Procedures

ITI QR code Mvc

Share this page

Download the QR code with a link to this page and use it in your presentations or share it on social media.

Download QR code
QR code