
Digital Imaging in the Restorative Planning
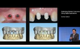
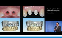
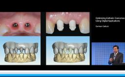
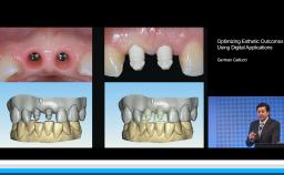
This lecture addresses role of digital imaging in restorative dentistry and discusses its use in facial, dentolabial, phonetic, and dental analysis. This presentation demonstrates the use of imported digital images, an iPad, and the free application iDraw for step-by-step facial analysis of a patient. The lecturer then demonstrates, the design of the smile line, first on the computer and then clinically. Transformation of 2D digital images to 3D images using the DSD Connect software is described. The lecture concludes with a clinical case carried out digitally from start to finish using intraoral scans and CBCT for implant planning and guided surgery.

At the end of this Congress Lecture you should be able to…
discuss the role of digital imaging in restorative dentistry
describe facial, dentolabial, phonetic, and dental analysis
apply digital imaging in restorative dental practice using available software applications









Share this page
Download the QR code with a link to this page and use it in your presentations or share it on social media.
Download QR code