Congress Lecture

3.5The average rating is 4 stars out of 5.
Practising Implant Dentistry and Self Directed Learning

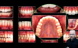
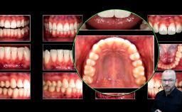
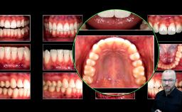
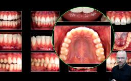
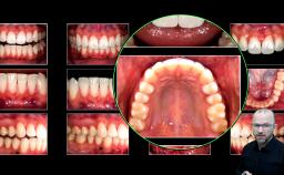
Digital Photography: An Instrument to Avoid Complications?

This lecture clearly demonstrates the indications and usefulness of digital photography in everyday practice. Macro photography, the most important aspect in dental digital photography, is defined in addition to other features such as exposure, depth of field, and sharpness. At the end of the lecture, you will have an overview of the relevant settings for intraoral photography with a digital camera, and you will be able to monitor the image quality. You will know the steps for a successful shade selection, and define your own dental image portfolio.

At the end of this Congress Lecture you should be able to…

  • describe the indications of digital photography
  • define macro photography
  • recognize the elements of a digital camera
  • discuss the settings for intraoral photography
Duration
32 min.
Learner Level
Event
ITI Congress Benelux 2016
CME/CPD
0.53 hours
Purchase price
16
You must be logged in to access or purchase this item.
There is a wealth of resources you can access by signing up as an ITI Member. Learn more about ITI membership benefits.
Publication date: Aug 30, 2016 Last review date: Aug 15, 2023 Next review date: Aug 15, 2026
3 - Proficient to Expert Congress Lecture English Languages Practising Implant Dentistry & Self Directed Learning

ITI QR code Mvc

Share this page

Download the QR code with a link to this page and use it in your presentations or share it on social media.

Download QR code
QR code