Congress Lecture

5.0The average rating is 5 stars out of 5.
Practising Implant Dentistry and Self Directed Learning

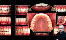
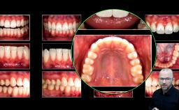
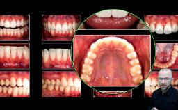
Planning for Success – Dental Implants in Daily Practice

Thoughtful case planning is crucial for the perpetual success of any dental implant therapy. This lecture presents many variables that affect treatment planning, including local host factors, timing of implant placement, loading protocols, and the design of the prosthesis. This presentation also includes evidence-based principles that can guide the dentist in making a comprehensive treatment plan for each individual case, leading to the long-term success of implant-supported prostheses.

At the end of this Congress Lecture you should be able to…

  • define the standards for an esthetic fixed implant prosthesis
  • discuss risk factors involved in implant treatment
  • describe options for the timing of implant placement
  • describe implant loading protocols
  • explain the features, advantages, and limitations of soft tissue level (one-piece) and bone level (two-piece) implant designs
Duration
28 min.
Learner Level
Event
ITI Congress France 2016
CME/CPD
0.47 hours
Purchase price
14
You must be logged in to access or purchase this item.
There is a wealth of resources you can access by signing up as an ITI Member. Learn more about ITI membership benefits.
Publication date: Apr 3, 2017 Last review date: Mar 28, 2024 Next review date: Mar 28, 2027
2 - Advanced Beginner to Competent Congress Lecture English Languages Practising Implant Dentistry & Self Directed Learning

ITI QR code Mvc

Share this page

Download the QR code with a link to this page and use it in your presentations or share it on social media.

Download QR code
QR code