Congress Lecture

0.0The average rating is 0 stars out of 5.
Prosthodontic Planning and Procedures

Advances and Trends in Implant Dentistry: Minimizing Risk and Avoiding Complications

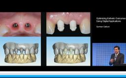
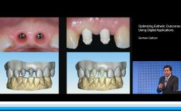
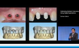
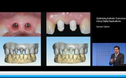
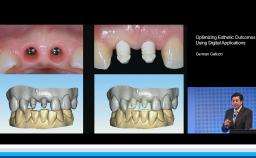
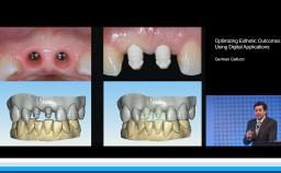
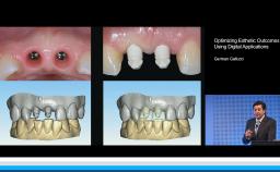
This lecture explains the trends in implant dentistry in a digital world: using digital impressions to obtain milled, printed, or digital casts; designing virtual prostheses via digital diagnostic wax-ups; and incorporating the patient’s cone beam CT into a digital workflow. This practice philosophy embraces prosthodontic-driven treatment planning in completely and partially edentulous arches through identifying the ideal prosthesis and creating prefabricated components. This presentation further demonstrates how this philosophy can lead to uneventful treatment that minimizes complications. The speaker emphasizes the key relationships between teeth, lips, and the residual ridge that indicate the optimal three-dimensional position for implant prostheses, and he advocates for the use of interim prostheses.

At the end of this Congress Lecture you should be able to…

  • explain the importance of digital impressions in reducing treatment complications
  • describe the digital workflow for implant therapy
  • discuss the prosthodontic-driven practice philosophy
Duration
48 min.
Learner Level
Event
ITI Congress France 2016
CME/CPD
0.8 hours
Purchase price
24
You must be logged in to access or purchase this item.
There is a wealth of resources you can access by signing up as an ITI Member. Learn more about ITI membership benefits.
Publication date: Jan 8, 2017 Last review date: Jan 2, 2024 Next review date: Jan 2, 2027
3 - Proficient to Expert Congress Lecture English Languages Prosthodontic Planning & Procedures

ITI QR code Mvc

Share this page

Download the QR code with a link to this page and use it in your presentations or share it on social media.

Download QR code
QR code