Treatment of Peri-Implant Infection at Adjacent Implant-Supported Single Crowns
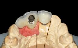
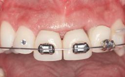
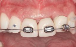
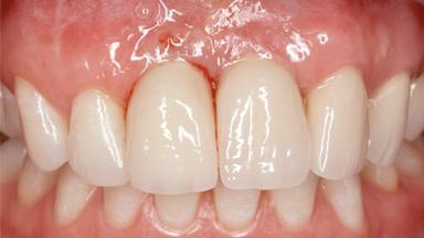
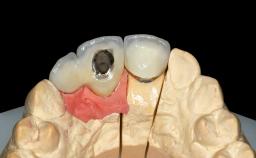
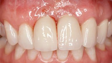
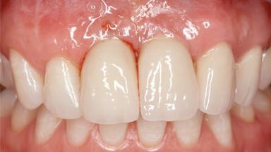
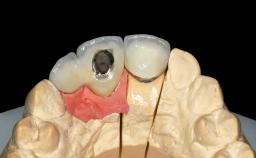
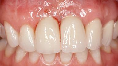
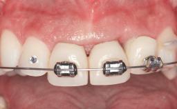
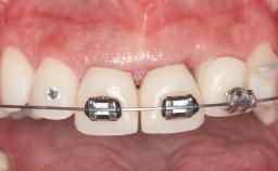
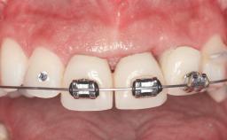
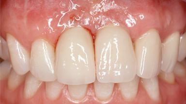
A 45-year-old woman was referred for management of an infection associated with two implant-supported crowns replacing the maxillary central incisors. Two tissue-level implants had been placed and restored with cemented single metal-ceramic crowns in those sites 4 years previously. The patient presented with a draining sinus (i.e. a pathological duct from an abscess cavity to a surface) 3 mm from the midfacial peri-implant mucosal margin of the maxillary right implant crown. She was in good general health, did not smoke, showed a good oral hygiene status, and had no history of periodontal disease. The implants were well positioned. While the patient was very satisfied with the appearance of her crowns, she had noted that the peri-implant soft tissue had receded since their insertion and was concerned about the possibility of further recession.
General information
| Case Type | Short Space |
|---|---|
| Jaw | Maxilla |
| Area | Anterior |
| # of Teeth | 2 |
| # of Implants | 2 |
| Type of Implants | One-Piece |
| Attachment | One-Piece |
| Bone Augmentation | No |
|---|---|
| Augmentation Materials | - |
| Guided Surgery | No |
| Soft Tissue Grafting | None |
| Abutment Type | Standard |
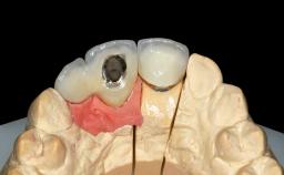
| Prosthesis Type | FDP |
Esthetic Risk Assessment
| Esthetic Risk Factors | Low | Medium | High |
|---|---|---|---|
| Medical Status | Healthy | Compromised | |
| Smoking Habit | Non-smoker | Light smoker (< 10 cigarettes per day) | Heavy smoker (>= 10 cigarettes per day) |
| Patient's Esthetic Expectations | Low | Medium | High |
| Lip Line | No exposure of papillae | Exposure of papillae | Full exposure of mucosa margin |
| Periodontal Phenotype | Low-scalloped, thick | Medium-scalloped, medium-thick | High-scalloped, thin |
| Shape of Tooth Crowns | Rectangular | Triangular | |
| Infection at Implant Site | None | Chronic | Acute |
| Bone Level at Adjacent Teeth | <= 5 mm to contact point | 5.5 to 6.5 mm to contact point | > 7 mm to contact point |
| Prosthodontic Status of Neighboring Teeth | Virgin | Restored | |
| Width of Edentulous Span | 1 tooth (>= 7 mm) | 1 tooth (< 7 mm) | 2 teeth or more |
| Soft Tissue Anatomy | Intact | Defective | |
| Bone Volume | Horizontally and vertically sufficient | Horizontally deficient | Deficient vertically or deficient vertically AND horizontally |
* General SAC assessment modifiers that are also part of the ERA. To avoid redundancy they are listed in this section even if no complete ERA has been made.
** Not applicable to the ERA of immediate placement cases and replaced by "Socket Integrity" listed below under "Surgical SAC Classification". For all other placement types this value is a classification determinant and listed here even if no complete ERA has been made.
Surgical SAC classification
| SAC Level | Advanced |
|---|---|
| Defining Characteristics | Up to three missing teeth to be replaced with an implant-borne prosthesis or prostheses |
| Modality | - |
| Placement Protocol | Early or late implant placement |
| Tooth Site | - |
| Socket Morphology | - |
| Socket Integrity | - |
| Bone Volume | Horizontally and vertically sufficient |
| Anatomic Risk | Low |
| Esthetic Risk | Medium |
| Complexity | Moderate |
| Risk of Complications | Moderate |
Prosthodontic SAC classification
| SAC Level | Straightforward |
|---|---|
| Defining Characteristics | Up to three missing teeth to be replaced with an implant-borne restoration or restorations |
| Loading Protocol | Conventional or early |
| Retention | Cemented, with prosthesis margin < 3mm submucosal Cemented, with prosthesis margin < 3mm submucosal |
| Maxillomandibular Relationship | - |
| Mesio-Distal Space | Adequate for the replacement of all missing teeth |
| Inter-Arch Distance | - |
| Bruxism | Absent |
| Esthetic Risk | Medium |
| Provisional Implant-Supported Prosthesis | Prosthodontic margin < 3 mm apical to mucosal crest Prosthodontic margin < 3 mm apical to mucosal crest |
| Interim Prosthesis during Healing | Removable Removable |
| Occlusion/Articulation | Harmonious |
| Occlusal Scheme/Issues | - |
Surgical SAC Modifiers
| Periodontal Status | Healthy |
|---|
Prosthodontic SAC Modifiers
| Soft Tissue Contour and Volume | Ideal |
|---|
General SAC Modifiers
| Oral Hygiene and Compliance | Good |
|---|---|
| Access | Adequate |
| Craniofacial/Skeletal Growth | Completed |
Share this page
Download the QR code with a link to this page and use it in your presentations or share it on social media.
Download QR code