Case

5.0The average rating is 5 stars out of 5.

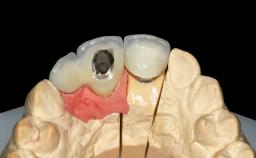
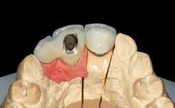
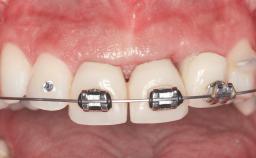
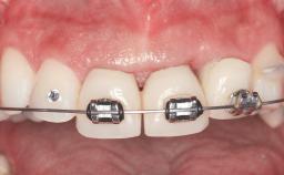
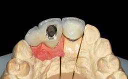
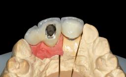
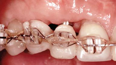
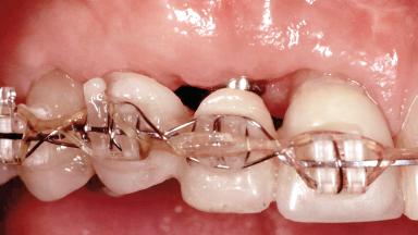
Replacement of Teeth 12 and 13 with Tissue-Level Implants

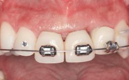
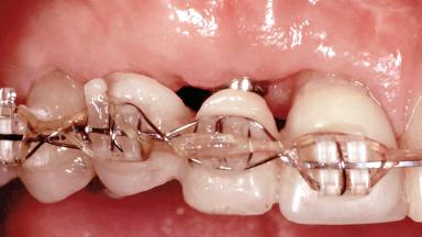
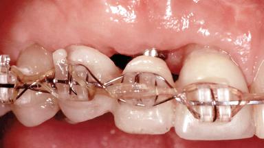
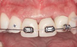
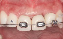
In 2001, a 48-year-old woman presented at a dental clinic with a failing fixed partial denture spanning from teeth 13 to 21. She was experiencing pain upon function, tenderness to palpation facial to tooth 13, and severe mobility of the prosthesis. Radiographic and clinical assessment revealed a subcrestal fracture of tooth 13, making its restoration unlikely. It was determined by the clinician that the tooth needed to be extracted prior to proceeding any further with dental care. After the extraction, the patient lost confidence in the progression of her treatment and sought consultation at the Center for Implant Dentistry. At her consultation visit in our clinic, an extra- and intraoral clinical examination revealed a medium lip line at full smile and an edentulous area spanning from 13 to 12 with both vertical and horizontal deficits in hard and soft tissue.

Surgical SAC classification
Complex
Prosthodontic SAC classification
Advanced
Learner Level
Source
Treatment Guide 6
CME/CPD
0.15 hours
Purchase price
10
You must be logged in to access or purchase this item.
There is a wealth of resources you can access by signing up as an ITI Member. Learn more about ITI membership benefits.

General information

Case Type Short Space
Jaw Maxilla
Area Anterior
# of Teeth 2
# of Implants 2
Type of Implants One-Piece|Reduced-Diameter
Attachment One-Piece|Reduced-Diameter
Bone Augmentation Horizontal|Staged|Vertical
Augmentation Materials Autogenous chips|Autogenous block(s)|Membrane
Guided Surgery No
Soft Tissue Grafting Staged
Abutment Type Customized
Prosthesis Type FDP

Esthetic Risk Assessment

Esthetic Risk Factors Low Medium High
Medical Status Healthy Compromised
Smoking Habit Non-smoker Light smoker (< 10 cigarettes per day) Heavy smoker (>= 10 cigarettes per day)
Patient's Esthetic Expectations Low Medium High
Lip Line No exposure of papillae Exposure of papillae Full exposure of mucosa margin
Periodontal Phenotype Low-scalloped, thick Medium-scalloped, medium-thick High-scalloped, thin
Shape of Tooth Crowns Rectangular Triangular
Infection at Implant Site None Chronic Acute
Bone Level at Adjacent Teeth <= 5 mm to contact point 5.5 to 6.5 mm to contact point > 7 mm to contact point
Prosthodontic Status of Neighboring Teeth Virgin Restored
Width of Edentulous Span 1 tooth (>= 7 mm) 1 tooth (< 7 mm) 2 teeth or more
Soft Tissue Anatomy Intact Defective
Bone Volume Horizontally and vertically sufficient Horizontally deficient Deficient vertically or deficient vertically AND horizontally

* General SAC assessment modifiers that are also part of the ERA. To avoid redundancy they are listed in this section even if no complete ERA has been made.

** Not applicable to the ERA of immediate placement cases and replaced by "Socket Integrity" listed below under "Surgical SAC Classification". For all other placement types this value is a classification determinant and listed here even if no complete ERA has been made.

Surgical SAC classification

SAC Level Complex
Defining Characteristics Up to three missing teeth to be replaced with an implant-borne prosthesis or prostheses
Modality -
Placement Protocol Early or late implant placement
Tooth Site -
Socket Morphology -
Socket Integrity -
Bone Volume Deficient vertically or deficient vertically AND horizontally
Anatomic Risk High
Esthetic Risk High
Complexity High
Risk of Complications High

Prosthodontic SAC classification

SAC Level Advanced
Defining Characteristics Up to three missing teeth to be replaced with an implant-borne restoration or restorations
Loading Protocol Conventional or early
Retention Cemented, with prosthesis margin < 3mm submucosal Cemented, with prosthesis margin < 3mm submucosal
Maxillomandibular Relationship -
Mesio-Distal Space Adequate for the replacement of all missing teeth
Inter-Arch Distance -
Bruxism Absent
Esthetic Risk High
Provisional Implant-Supported Prosthesis Prosthodontic margin >3 mm apical to mucosal crest Prosthodontic margin >3 mm apical to mucosal crest
Interim Prosthesis during Healing Fixed Fixed
Occlusion/Articulation Harmonious
Occlusal Scheme/Issues -

Surgical SAC Modifiers

Periodontal Status Healthy

Prosthodontic SAC Modifiers

Soft Tissue Contour and Volume Significantly deficient

General SAC Modifiers

Oral Hygiene and Compliance Good
Access Adequate
Craniofacial/Skeletal Growth Completed
Publication date: Jul 29, 2015 Last review date: Jul 23, 2023 Next review date: Jul 23, 2026
Clinical Case Treatment Guide 6

ITI QR code Mvc

Share this page

Download the QR code with a link to this page and use it in your presentations or share it on social media.

Download QR code
QR code