
Surgical Management of Peri-Implantitis: Open-Flap Debridement with Seven-Year Follow-up After Treatment
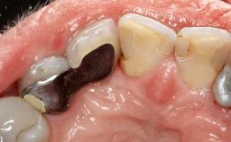
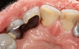
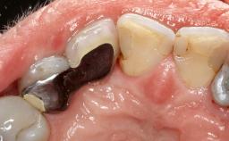
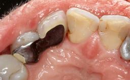
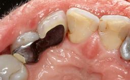
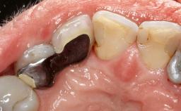
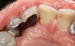
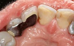
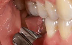
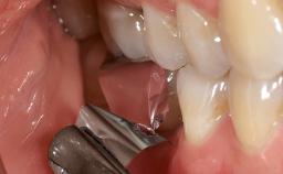
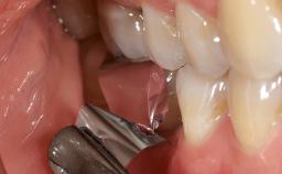
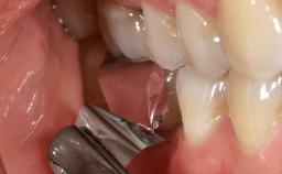
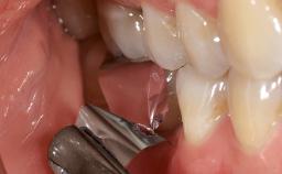
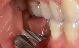
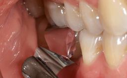
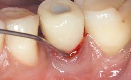
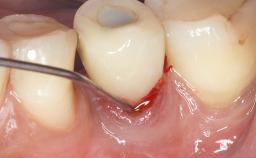
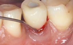
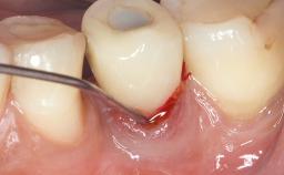
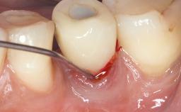
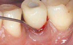
This case describes both a surgical and an anti-infective approach for the management of peri-implantitis, including treatment of the entire dentition to eliminate any deep periodontal pockets that could serve as reservoirs for bacterial re-colonization at the implant site. A 65-year-old female patient was referred to the periodontist in 2013 for assessment and management of an infection at implant 12. On examination, probing depths at implant 12 were 11 mm with suppuration and bleeding on probing.










General information
Case Type | |
---|---|
Jaw | - |
Area | - |
# of Teeth | - |
# of Implants | - |
Type of Implants | - |
Attachment | - |
Bone Augmentation | - |
---|---|
Augmentation Materials | - |
Guided Surgery | - |
Soft Tissue Grafting | - |
Abutment Type | - |
Prosthesis Type | - |
Esthetic Risk Assessment
Esthetic Risk Factors | Low | Medium | High |
---|---|---|---|
Medical Status | Healthy | Compromised | |
Smoking Habit | Non-smoker | Light smoker (< 10 cigarettes per day) | Heavy smoker (>= 10 cigarettes per day) |
Patient's Esthetic Expectations | Low | Medium | High |
Lip Line | No exposure of papillae | Exposure of papillae | Full exposure of mucosa margin |
Periodontal Phenotype | Low-scalloped, thick | Medium-scalloped, medium-thick | High-scalloped, thin |
Shape of Tooth Crowns | Rectangular | Triangular | |
Infection at Implant Site | None | Chronic | Acute |
Bone Level at Adjacent Teeth | <= 5 mm to contact point | 5.5 to 6.5 mm to contact point | > 7 mm to contact point |
Prosthodontic Status of Neighboring Teeth | Virgin | Restored | |
Width of Edentulous Span | 1 tooth (>= 7 mm) | 1 tooth (< 7 mm) | 2 teeth or more |
Soft Tissue Anatomy | Intact | Defective | |
Bone Volume | Horizontally and vertically sufficient | Horizontally deficient | Deficient vertically or deficient vertically AND horizontally |
* General SAC assessment modifiers that are also part of the ERA. To avoid redundancy they are listed in this section even if no complete ERA has been made.
** Not applicable to the ERA of immediate placement cases and replaced by "Socket Integrity" listed below under "Surgical SAC Classification". For all other placement types this value is a classification determinant and listed here even if no complete ERA has been made.
Surgical SAC classification
SAC Level | - |
---|---|
Defining Characteristics | - |
Modality | - |
Placement Protocol | - |
Tooth Site | - |
Socket Morphology | - |
Socket Integrity | - |
Bone Volume | - |
Anatomic Risk | - |
Esthetic Risk | - |
Complexity | |
Risk of Complications | - |
Prosthodontic SAC classification
SAC Level | - |
---|---|
Defining Characteristics | - |
Loading Protocol | - |
Retention | - |
Maxillomandibular Relationship | - |
Mesio-Distal Space | - |
Inter-Arch Distance | - |
Bruxism | - |
Esthetic Risk | - |
Provisional Implant-Supported Prosthesis | - |
Interim Prosthesis during Healing | - |
Occlusion/Articulation | - |
Occlusal Scheme/Issues | - |
Surgical SAC Modifiers
Periodontal Status | - |
---|
Prosthodontic SAC Modifiers
Soft Tissue Contour and Volume | - |
---|
General SAC Modifiers
Oral Hygiene and Compliance | - |
---|---|
Access | - |
Craniofacial/Skeletal Growth | - |
Share this page
Download the QR code with a link to this page and use it in your presentations or share it on social media.
Download QR code