Occlusal Load—a Factor for Implant Failure?
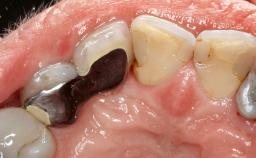
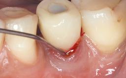
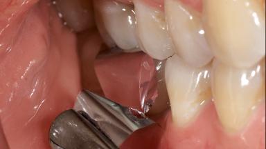
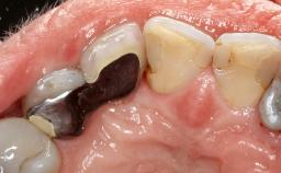
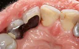
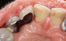
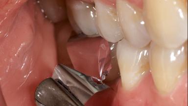
In this case, Nicola Zitzmann describes the sudden loss of a previously well-osseointegrated implant that had been in healthy function for 5 years. The case includes recommendations for occlusion and function of implant restorations. A 74-year-old patient had received implant-fixed dental prostheses in the maxilla in 2008, and in the right mandible three years later. His tooth loss was mainly related to recurrent caries associated with hyposalivation as a potential side effect of his cholesterol-lowering medication.
                                                    
                                
                                
                                
                                
                                
                                
                                
                                
                                General information
| Case Type | |
|---|---|
| Jaw | - | 
| Area | - | 
| # of Teeth | - | 
| # of Implants | - | 
| Type of Implants | - | 
| Attachment | - | 
| Bone Augmentation | - | 
|---|---|
| Augmentation Materials | - | 
| Guided Surgery | - | 
| Soft Tissue Grafting | - | 
| Abutment Type | - | 
| Prosthesis Type | - | 
Esthetic Risk Assessment
| Esthetic Risk Factors | Low | Medium | High | 
|---|---|---|---|
| Medical Status | Healthy | Compromised | |
| Smoking Habit | Non-smoker | Light smoker (< 10 cigarettes per day) | Heavy smoker (>= 10 cigarettes per day) | 
| Patient's Esthetic Expectations | Low | Medium | High | 
| Lip Line | No exposure of papillae | Exposure of papillae | Full exposure of mucosa margin | 
| Periodontal Phenotype | Low-scalloped, thick | Medium-scalloped, medium-thick | High-scalloped, thin | 
| Shape of Tooth Crowns | Rectangular | Triangular | |
| Infection at Implant Site | None | Chronic | Acute | 
| Bone Level at Adjacent Teeth | <= 5 mm to contact point | 5.5 to 6.5 mm to contact point | > 7 mm to contact point | 
| Prosthodontic Status of Neighboring Teeth | Virgin | Restored | |
| Width of Edentulous Span | 1 tooth (>= 7 mm) | 1 tooth (< 7 mm) | 2 teeth or more | 
| Soft Tissue Anatomy | Intact | Defective | |
| Bone Volume | Horizontally and vertically sufficient | Horizontally deficient | Deficient vertically or deficient vertically AND horizontally | 
* General SAC assessment modifiers that are also part of the ERA. To avoid redundancy they are listed in this section even if no complete ERA has been made.
** Not applicable to the ERA of immediate placement cases and replaced by "Socket Integrity" listed below under "Surgical SAC Classification". For all other placement types this value is a classification determinant and listed here even if no complete ERA has been made.
Surgical SAC classification
| SAC Level | - | 
|---|---|
| Defining Characteristics | - | 
| Modality | - | 
| Placement Protocol | - | 
| Tooth Site | - | 
| Socket Morphology | - | 
| Socket Integrity | - | 
| Bone Volume | - | 
| Anatomic Risk | - | 
| Esthetic Risk | - | 
| Complexity | |
| Risk of Complications | - | 
Prosthodontic SAC classification
| SAC Level | - | 
|---|---|
| Defining Characteristics | - | 
| Loading Protocol | - | 
| Retention | - | 
| Maxillomandibular Relationship | - | 
| Mesio-Distal Space | - | 
| Inter-Arch Distance | - | 
| Bruxism | - | 
| Esthetic Risk | - | 
| Provisional Implant-Supported Prosthesis | - | 
| Interim Prosthesis during Healing | - | 
| Occlusion/Articulation | - | 
| Occlusal Scheme/Issues | - | 
Surgical SAC Modifiers
| Periodontal Status | - | 
|---|
Prosthodontic SAC Modifiers
| Soft Tissue Contour and Volume | - | 
|---|
General SAC Modifiers
| Oral Hygiene and Compliance | - | 
|---|---|
| Access | - | 
| Craniofacial/Skeletal Growth | - | 
Share this page
Download the QR code with a link to this page and use it in your presentations or share it on social media.
Download QR code