
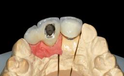
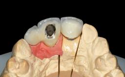
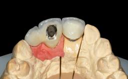
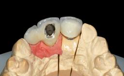
Replacement of Two Central Incisors with Non-Splinted Crowns on Bone-Level Implants
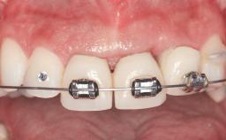
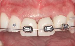
A 27-year-old female patient was referred to the Clinic of Oral Surgery and Stomatology of the University of Bern due to acute pain in the region of her two maxillary central incisors. The patient was in good general health. She reported a bicycle accident approximately 5 years earlier in which teeth 11 and 21 had been traumatized but neither fractured nor displaced. Several weeks after the accident, endodontic treatment was performed on both central incisors, although the patient did not recall the precise reasons for this decision. About 2 years ago, non-vital bleaching had been conducted, in accordance with the “walking-bleach” principle, due to progressive discoloration of teeth 11 and 21.










General information
Case Type | Short Space |
---|---|
Jaw | Maxilla |
Area | Anterior |
# of Teeth | 2 |
# of Implants | 2 |
Type of Implants | Two-Piece |
Attachment | Two-Piece |
Bone Augmentation | Horizontal|Simultaneous |
---|---|
Augmentation Materials | Autogenous chips|Xenogenous|Membrane |
Guided Surgery | No |
Soft Tissue Grafting | None |
Abutment Type | CAD/CAM |
Prosthesis Type | FDP |
Esthetic Risk Assessment
Esthetic Risk Factors | Low | Medium | High |
---|---|---|---|
Medical Status | Healthy | Compromised | |
Smoking Habit | Non-smoker | Light smoker (< 10 cigarettes per day) | Heavy smoker (>= 10 cigarettes per day) |
Patient's Esthetic Expectations | Low | Medium | High |
Lip Line | No exposure of papillae | Exposure of papillae | Full exposure of mucosa margin |
Periodontal Phenotype | Low-scalloped, thick | Medium-scalloped, medium-thick | High-scalloped, thin |
Shape of Tooth Crowns | Rectangular | Triangular | |
Infection at Implant Site | None | Chronic | Acute |
Bone Level at Adjacent Teeth | <= 5 mm to contact point | 5.5 to 6.5 mm to contact point | > 7 mm to contact point |
Prosthodontic Status of Neighboring Teeth | Virgin | Restored | |
Width of Edentulous Span | 1 tooth (>= 7 mm) | 1 tooth (< 7 mm) | 2 teeth or more |
Soft Tissue Anatomy | Intact | Defective | |
Bone Volume | Horizontally and vertically sufficient | Horizontally deficient | Deficient vertically or deficient vertically AND horizontally |
* General SAC assessment modifiers that are also part of the ERA. To avoid redundancy they are listed in this section even if no complete ERA has been made.
** Not applicable to the ERA of immediate placement cases and replaced by "Socket Integrity" listed below under "Surgical SAC Classification". For all other placement types this value is a classification determinant and listed here even if no complete ERA has been made.
Surgical SAC classification
SAC Level | Advanced |
---|---|
Defining Characteristics | Up to three missing teeth to be replaced with an implant-borne prosthesis or prostheses |
Modality | - |
Placement Protocol | Early or late implant placement |
Tooth Site | - |
Socket Morphology | - |
Socket Integrity | - |
Bone Volume | Deficient horizontally, allowing simultaneous augumentation |
Anatomic Risk | Low |
Esthetic Risk | Medium |
Complexity | Moderate |
Risk of Complications | Moderate |
Prosthodontic SAC classification
SAC Level | Advanced |
---|---|
Defining Characteristics | Up to three missing teeth to be replaced with an implant-borne restoration or restorations |
Loading Protocol | Conventional or early |
Retention | Screw-retained, with 2 unsplinted implants Screw-retained, with 2 unsplinted implants |
Maxillomandibular Relationship | - |
Mesio-Distal Space | Adequate for the replacement of all missing teeth |
Inter-Arch Distance | - |
Bruxism | Absent |
Esthetic Risk | Medium |
Provisional Implant-Supported Prosthesis | Prosthodontic margin >3 mm apical to mucosal crest Prosthodontic margin >3 mm apical to mucosal crest |
Interim Prosthesis during Healing | Removable Removable |
Occlusion/Articulation | Harmonious |
Occlusal Scheme/Issues | - |
Surgical SAC Modifiers
Periodontal Status | Healthy |
---|
Prosthodontic SAC Modifiers
Soft Tissue Contour and Volume | Ideal |
---|
General SAC Modifiers
Oral Hygiene and Compliance | Good |
---|---|
Access | Adequate |
Craniofacial/Skeletal Growth | Completed |
Share this page
Download the QR code with a link to this page and use it in your presentations or share it on social media.
Download QR code