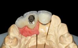
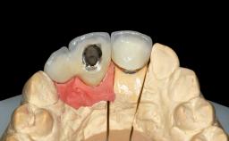
Replacement of Two Central Incisors and One Lateral Incisor with a Fixed Dental Prosthesis on Two Bone-Level Implants
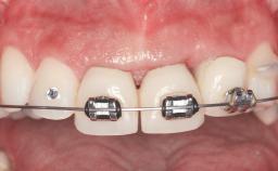
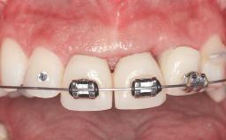
A 38-year-old woman presented with an esthetically unacceptable fixed partial denture replacing teeth 11, 21, 22. She had lost these teeth due to trauma when she was a child. The patient was not in pain but very concerned based on her previous experience that dental treatments had never satisfied her esthetic expectations. She was in good general health and reported no regular medications. No periodontal disease was noted despite the fact that the buccal flange of the prosthesis impeded cleaning of the tooth abutments. The patient did not smoke and complied with home maintenance requirements, as evidenced by her good oral hygiene status.
General information
| Case Type | Short Space |
|---|---|
| Jaw | Maxilla |
| Area | Anterior |
| # of Teeth | 3 |
| # of Implants | 2 |
| Type of Implants | Two-Piece |
| Attachment | Two-Piece |
| Bone Augmentation | Horizontal|Simultaneous|Staged |
|---|---|
| Augmentation Materials | Autogenous block(s)|Xenogenous|Membrane |
| Guided Surgery | No |
| Soft Tissue Grafting | Staged |
| Abutment Type | Standard |
| Prosthesis Type | FDP |
Esthetic Risk Assessment
| Esthetic Risk Factors | Low | Medium | High |
|---|---|---|---|
| Medical Status | Healthy | Compromised | |
| Smoking Habit | Non-smoker | Light smoker (< 10 cigarettes per day) | Heavy smoker (>= 10 cigarettes per day) |
| Patient's Esthetic Expectations | Low | Medium | High |
| Lip Line | No exposure of papillae | Exposure of papillae | Full exposure of mucosa margin |
| Periodontal Phenotype | Low-scalloped, thick | Medium-scalloped, medium-thick | High-scalloped, thin |
| Shape of Tooth Crowns | Rectangular | Triangular | |
| Infection at Implant Site | None | Chronic | Acute |
| Bone Level at Adjacent Teeth | <= 5 mm to contact point | 5.5 to 6.5 mm to contact point | > 7 mm to contact point |
| Prosthodontic Status of Neighboring Teeth | Virgin | Restored | |
| Width of Edentulous Span | 1 tooth (>= 7 mm) | 1 tooth (< 7 mm) | 2 teeth or more |
| Soft Tissue Anatomy | Intact | Defective | |
| Bone Volume | Horizontally and vertically sufficient | Horizontally deficient | Deficient vertically or deficient vertically AND horizontally |
* General SAC assessment modifiers that are also part of the ERA. To avoid redundancy they are listed in this section even if no complete ERA has been made.
** Not applicable to the ERA of immediate placement cases and replaced by "Socket Integrity" listed below under "Surgical SAC Classification". For all other placement types this value is a classification determinant and listed here even if no complete ERA has been made.
Surgical SAC classification
| SAC Level | Complex |
|---|---|
| Defining Characteristics | Up to three missing teeth to be replaced with an implant-borne prosthesis or prostheses |
| Modality | - |
| Placement Protocol | Early or late implant placement |
| Tooth Site | - |
| Socket Morphology | - |
| Socket Integrity | - |
| Bone Volume | Deficient horizontally, requiring prior grafting |
| Anatomic Risk | Low |
| Esthetic Risk | High |
| Complexity | Moderate |
| Risk of Complications | Moderate |
Prosthodontic SAC classification
| SAC Level | Advanced |
|---|---|
| Defining Characteristics | Up to three missing teeth to be replaced with an implant-borne restoration or restorations |
| Loading Protocol | Conventional or early |
| Retention | Screw-retained, with 2 splinted implants Screw-retained, with 2 splinted implants |
| Maxillomandibular Relationship | - |
| Mesio-Distal Space | Adequate for the replacement of all missing teeth |
| Inter-Arch Distance | - |
| Bruxism | Absent |
| Esthetic Risk | High |
| Provisional Implant-Supported Prosthesis | Prosthodontic margin < 3 mm apical to mucosal crest Prosthodontic margin < 3 mm apical to mucosal crest |
| Interim Prosthesis during Healing | Fixed Fixed |
| Occlusion/Articulation | Harmonious |
| Occlusal Scheme/Issues | - |
Surgical SAC Modifiers
| Periodontal Status | Healthy |
|---|
Prosthodontic SAC Modifiers
| Soft Tissue Contour and Volume | Significantly deficient |
|---|
General SAC Modifiers
| Oral Hygiene and Compliance | Good |
|---|---|
| Access | Adequate |
| Craniofacial/Skeletal Growth | Completed |
Share this page
Download the QR code with a link to this page and use it in your presentations or share it on social media.
Download QR code