
Replacement of Teeth 12 and 13 with Tissue-Level Implants
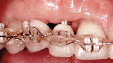
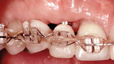
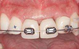
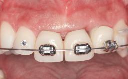
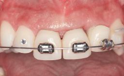
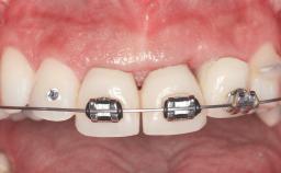
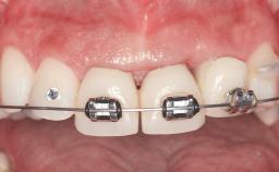
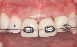
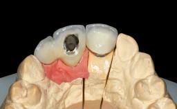
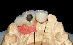
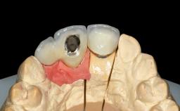
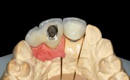
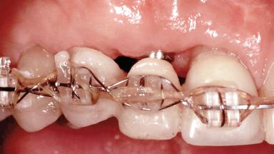
In 2001, a 48-year-old woman presented at a dental clinic with a failing fixed partial denture spanning from teeth 13 to 21. She was experiencing pain upon function, tenderness to palpation facial to tooth 13, and severe mobility of the prosthesis. Radiographic and clinical assessment revealed a subcrestal fracture of tooth 13, making its restoration unlikely. It was determined by the clinician that the tooth needed to be extracted prior to proceeding any further with dental care. After the extraction, the patient lost confidence in the progression of her treatment and sought consultation at the Center for Implant Dentistry. At her consultation visit in our clinic, an extra- and intraoral clinical examination revealed a medium lip line at full smile and an edentulous area spanning from 13 to 12 with both vertical and horizontal deficits in hard and soft tissue.










General information
Case Type | Short Space |
---|---|
Jaw | Maxilla |
Area | Anterior |
# of Teeth | 2 |
# of Implants | 2 |
Type of Implants | One-Piece|Reduced-Diameter |
Attachment | One-Piece|Reduced-Diameter |
Bone Augmentation | Horizontal|Staged|Vertical |
---|---|
Augmentation Materials | Autogenous chips|Autogenous block(s)|Membrane |
Guided Surgery | No |
Soft Tissue Grafting | Staged |
Abutment Type | Customized |
Prosthesis Type | FDP |
Esthetic Risk Assessment
Esthetic Risk Factors | Low | Medium | High |
---|---|---|---|
Medical Status | Healthy | Compromised | |
Smoking Habit | Non-smoker | Light smoker (< 10 cigarettes per day) | Heavy smoker (>= 10 cigarettes per day) |
Patient's Esthetic Expectations | Low | Medium | High |
Lip Line | No exposure of papillae | Exposure of papillae | Full exposure of mucosa margin |
Periodontal Phenotype | Low-scalloped, thick | Medium-scalloped, medium-thick | High-scalloped, thin |
Shape of Tooth Crowns | Rectangular | Triangular | |
Infection at Implant Site | None | Chronic | Acute |
Bone Level at Adjacent Teeth | <= 5 mm to contact point | 5.5 to 6.5 mm to contact point | > 7 mm to contact point |
Prosthodontic Status of Neighboring Teeth | Virgin | Restored | |
Width of Edentulous Span | 1 tooth (>= 7 mm) | 1 tooth (< 7 mm) | 2 teeth or more |
Soft Tissue Anatomy | Intact | Defective | |
Bone Volume | Horizontally and vertically sufficient | Horizontally deficient | Deficient vertically or deficient vertically AND horizontally |
* General SAC assessment modifiers that are also part of the ERA. To avoid redundancy they are listed in this section even if no complete ERA has been made.
** Not applicable to the ERA of immediate placement cases and replaced by "Socket Integrity" listed below under "Surgical SAC Classification". For all other placement types this value is a classification determinant and listed here even if no complete ERA has been made.
Surgical SAC classification
SAC Level | Complex |
---|---|
Defining Characteristics | Up to three missing teeth to be replaced with an implant-borne prosthesis or prostheses |
Modality | - |
Placement Protocol | Early or late implant placement |
Tooth Site | - |
Socket Morphology | - |
Socket Integrity | - |
Bone Volume | Deficient vertically or deficient vertically AND horizontally |
Anatomic Risk | High |
Esthetic Risk | High |
Complexity | High |
Risk of Complications | High |
Prosthodontic SAC classification
SAC Level | Advanced |
---|---|
Defining Characteristics | Up to three missing teeth to be replaced with an implant-borne restoration or restorations |
Loading Protocol | Conventional or early |
Retention | Cemented, with prosthesis margin < 3mm submucosal Cemented, with prosthesis margin < 3mm submucosal |
Maxillomandibular Relationship | - |
Mesio-Distal Space | Adequate for the replacement of all missing teeth |
Inter-Arch Distance | - |
Bruxism | Absent |
Esthetic Risk | High |
Provisional Implant-Supported Prosthesis | Prosthodontic margin >3 mm apical to mucosal crest Prosthodontic margin >3 mm apical to mucosal crest |
Interim Prosthesis during Healing | Fixed Fixed |
Occlusion/Articulation | Harmonious |
Occlusal Scheme/Issues | - |
Surgical SAC Modifiers
Periodontal Status | Healthy |
---|
Prosthodontic SAC Modifiers
Soft Tissue Contour and Volume | Significantly deficient |
---|
General SAC Modifiers
Oral Hygiene and Compliance | Good |
---|---|
Access | Adequate |
Craniofacial/Skeletal Growth | Completed |
Share this page
Download the QR code with a link to this page and use it in your presentations or share it on social media.
Download QR code