Replacement of Congenitally Missing Upper Lateral Incisors with Narrow Neck Implants, Restored with Ceramo-Metal Crowns, Cemented
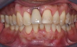
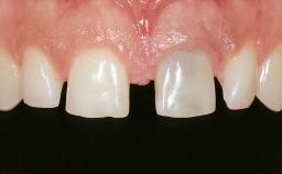
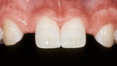
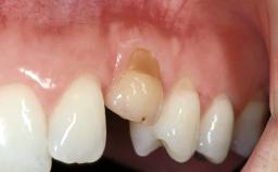
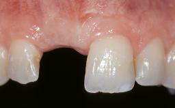
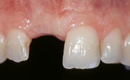
A healthy 19-year-old male patient presented at our clinic for a consultation on treatment options to replace the congenitally missing teeth at sites 12 and 22. He expected the treatment to be performed within one year, as he was planning to move away from the area. After a consultation on treatment options, the patient requested an implant-retained fixed restorative solution. A detailed examination of the teeth and periodontium adjacent to the edentulous spaces was performed to assess the potential for an esthetic result. The patient reported that orthodontic therapy had recently been completed and that the edentulous spaces were maintained with an interim removable prosthesis.
General information
| Case Type | Single-Tooth Space |
|---|---|
| Jaw | Maxilla |
| Area | Anterior |
| # of Teeth | 2 |
| # of Implants | 2 |
| Type of Implants | One-Piece|Reduced-Diameter |
| Attachment | One-Piece|Reduced-Diameter |
| Bone Augmentation | Horizontal|Staged |
|---|---|
| Augmentation Materials | Autogenous chips|Autogenous block(s)|Membrane |
| Guided Surgery | No |
| Soft Tissue Grafting | None |
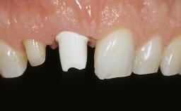
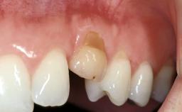
| Abutment Type | Customized |
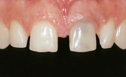
| Prosthesis Type | FDP |
Esthetic Risk Assessment
| Esthetic Risk Factors | Low | Medium | High |
|---|---|---|---|
| Medical Status | Healthy | Compromised | |
| Smoking Habit | Non-smoker | Light smoker (< 10 cigarettes per day) | Heavy smoker (>= 10 cigarettes per day) |
| Patient's Esthetic Expectations | Low | Medium | High |
| Lip Line | No exposure of papillae | Exposure of papillae | Full exposure of mucosa margin |
| Periodontal Phenotype | Low-scalloped, thick | Medium-scalloped, medium-thick | High-scalloped, thin |
| Shape of Tooth Crowns | Rectangular | Triangular | |
| Infection at Implant Site | None | Chronic | Acute |
| Bone Level at Adjacent Teeth | <= 5 mm to contact point | 5.5 to 6.5 mm to contact point | > 7 mm to contact point |
| Prosthodontic Status of Neighboring Teeth | Virgin | Restored | |
| Width of Edentulous Span | 1 tooth (>= 7 mm) | 1 tooth (< 7 mm) | 2 teeth or more |
| Soft Tissue Anatomy | Intact | Defective | |
| Bone Volume | Horizontally and vertically sufficient | Horizontally deficient | Deficient vertically or deficient vertically AND horizontally |
* General SAC assessment modifiers that are also part of the ERA. To avoid redundancy they are listed in this section even if no complete ERA has been made.
** Not applicable to the ERA of immediate placement cases and replaced by "Socket Integrity" listed below under "Surgical SAC Classification". For all other placement types this value is a classification determinant and listed here even if no complete ERA has been made.
Surgical SAC classification
| SAC Level | Complex |
|---|---|
| Defining Characteristics | One missing tooth to be replaced by an implant-borne crown |
| Modality | - |
| Placement Protocol | Early or late implant placement |
| Tooth Site | - |
| Socket Morphology | - |
| Socket Integrity | - |
| Bone Volume | Deficient horizontally, requiring prior grafting |
| Anatomic Risk | Low |
| Esthetic Risk | Medium |
| Complexity | Moderate |
| Risk of Complications | Moderate |
Prosthodontic SAC classification
| SAC Level | Straightforward |
|---|---|
| Defining Characteristics | One missing tooth to be replaced by an implant-borne crown |
| Loading Protocol | Conventional or early |
| Retention | Cemented, with prosthesis margin < 3mm submucosal Cemented, with prosthesis margin < 3mm submucosal |
| Maxillomandibular Relationship | Angle Class I and III |
| Mesio-Distal Space | Symmetry +/- 1 mm of contra-lateral tooth |
| Inter-Arch Distance | - |
| Bruxism | - |
| Esthetic Risk | Medium |
| Provisional Implant-Supported Prosthesis | Prosthodontic margin < 3 mm apical to mucosal margin Prosthodontic margin < 3 mm apical to mucosal margin |
| Interim Prosthesis during Healing | Removable Removable |
| Occlusion/Articulation | - |
| Occlusal Scheme/Issues | - |
Surgical SAC Modifiers
| Periodontal Status | Healthy |
|---|
Prosthodontic SAC Modifiers
| Soft Tissue Contour and Volume | Significantly deficient |
|---|
General SAC Modifiers
| Oral Hygiene and Compliance | Good |
|---|---|
| Access | Adequate |
| Craniofacial/Skeletal Growth | Completed |
Share this page
Download the QR code with a link to this page and use it in your presentations or share it on social media.
Download QR code