Case

5.0The average rating is 5 stars out of 5.

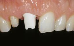
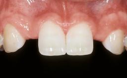
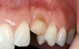
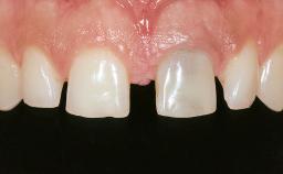
Replacement of an Upper Right Lateral Incisor with a Narrow Neck Implant, Restored with a Ceramo-Metal Crown, Cemented

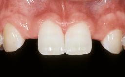
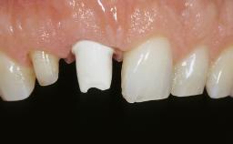
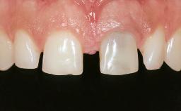
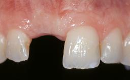
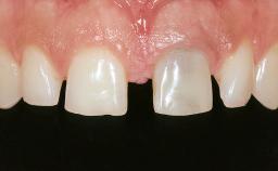
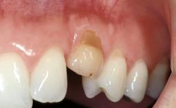
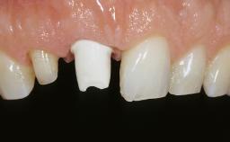
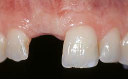
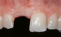
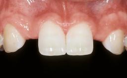
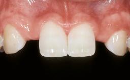
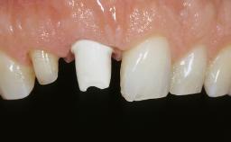
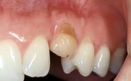
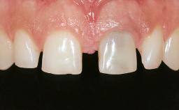
A healthy 32-year-old female patient presented at the clinic for recementation of a resin-retained fixed partial denture (RRFPD) and for a consultation on treatment options to replace the congenitally missing tooth 12. She desired a more esthetic and functional treatment option than her current one. A detailed examination of the teeth and periodontium adjacent to the edentulous space was performed to assess the esthetic risk for implant therapy. The intraoral exam revealed a pre-existing metal-reinforced RRFPD replacing tooth 12. Discoloration of teeth 13 and 11 due to the large metal retainers on the prosthesis was evident.The patient reported several occasions on which the prosthesis had debonded and had to be reinserted. It had become a nuisance for her,and she wanted a more permanent solution. Upon comparison of the adjacent lateral incisors, the mesiodistal width of 12 was slightly smaller and 22 was slightly undercontoured in its incisal embrasure.

Surgical SAC classification
Advanced
Prosthodontic SAC classification
Advanced
Learner Level
Source
Treatment Guide 1
CME/CPD
0.15 hours
Purchase price
10
You must be logged in to access or purchase this item.
There is a wealth of resources you can access by signing up as an ITI Member. Learn more about ITI membership benefits.

General information

Case Type Single-Tooth Space
Jaw Maxilla
Area Anterior
# of Teeth 1
# of Implants 1
Type of Implants One-Piece|Reduced-Diameter
Attachment One-Piece|Reduced-Diameter
Bone Augmentation No
Augmentation Materials -
Guided Surgery No
Soft Tissue Grafting None
Abutment Type Customized
Prosthesis Type FDP

Esthetic Risk Assessment

Esthetic Risk Factors Low Medium High
Medical Status Healthy Compromised
Smoking Habit Non-smoker Light smoker (< 10 cigarettes per day) Heavy smoker (>= 10 cigarettes per day)
Patient's Esthetic Expectations Low Medium High
Lip Line No exposure of papillae Exposure of papillae Full exposure of mucosa margin
Periodontal Phenotype Low-scalloped, thick Medium-scalloped, medium-thick High-scalloped, thin
Shape of Tooth Crowns Rectangular Triangular
Infection at Implant Site None Chronic Acute
Bone Level at Adjacent Teeth <= 5 mm to contact point 5.5 to 6.5 mm to contact point > 7 mm to contact point
Prosthodontic Status of Neighboring Teeth Virgin Restored
Width of Edentulous Span 1 tooth (>= 7 mm) 1 tooth (< 7 mm) 2 teeth or more
Soft Tissue Anatomy Intact Defective
Bone Volume Horizontally and vertically sufficient Horizontally deficient Deficient vertically or deficient vertically AND horizontally

* General SAC assessment modifiers that are also part of the ERA. To avoid redundancy they are listed in this section even if no complete ERA has been made.

** Not applicable to the ERA of immediate placement cases and replaced by "Socket Integrity" listed below under "Surgical SAC Classification". For all other placement types this value is a classification determinant and listed here even if no complete ERA has been made.

Surgical SAC classification

SAC Level Advanced
Defining Characteristics One missing tooth to be replaced by an implant-borne crown
Modality -
Placement Protocol Early or late implant placement
Tooth Site -
Socket Morphology -
Socket Integrity -
Bone Volume Horizontally and vertically sufficient
Anatomic Risk Low
Esthetic Risk Medium
Complexity Moderate
Risk of Complications Moderate

Prosthodontic SAC classification

SAC Level Advanced
Defining Characteristics One missing tooth to be replaced by an implant-borne crown
Loading Protocol Conventional or early
Retention Cemented, with prosthesis margin < 3mm submucosal Cemented, with prosthesis margin < 3mm submucosal
Maxillomandibular Relationship Angle Class I and III
Mesio-Distal Space Asymmetry greater than 1 mm
Inter-Arch Distance -
Bruxism -
Esthetic Risk Medium
Provisional Implant-Supported Prosthesis Prosthodontic margin < 3 mm apical to mucosal margin Prosthodontic margin < 3 mm apical to mucosal margin
Interim Prosthesis during Healing Fixed Fixed
Occlusion/Articulation -
Occlusal Scheme/Issues -

Surgical SAC Modifiers

Periodontal Status Healthy

Prosthodontic SAC Modifiers

Soft Tissue Contour and Volume Ideal

General SAC Modifiers

Oral Hygiene and Compliance Good
Access Adequate
Craniofacial/Skeletal Growth Completed
Publication date: Jan 11, 2015 Last review date: Apr 10, 2023 Next review date: Apr 10, 2026
Clinical Case Treatment Guide 1

ITI QR code Mvc

Share this page

Download the QR code with a link to this page and use it in your presentations or share it on social media.

Download QR code
QR code