
Replacement of a Maxillary Right Central Incisor Using an Immediate Restoration Protocol
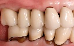
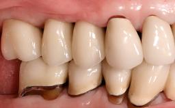
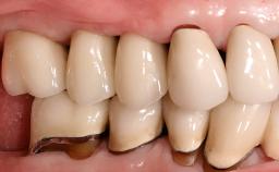
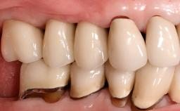
A healthy 54-year-old male was referred to a specialist prosthodontic clinic for the management of the maxillary right central incisor, tooth 11. It had been endodontically treated approximately 20 years before and was decoronated during trauma to the mouth. Emergency treatment provided by the referring general dentist provisionally restored the tooth with a prefabricated post and full coronal resin restoration. The patient requested a fixed replacement of tooth 11. The patient displayed a moderate lip line and, on wide smiling, a display of the interproximal papilla, and 1 mm of cervical gingival margin.










General information
Case Type | Single-Tooth Space |
---|---|
Jaw | Maxilla |
Area | Anterior |
# of Teeth | 1 |
# of Implants | 1 |
Type of Implants | One-Piece |
Attachment | One-Piece |
Bone Augmentation | No |
---|---|
Augmentation Materials | - |
Guided Surgery | No |
Soft Tissue Grafting | None |
Abutment Type | Customized |
Prosthesis Type | FDP |
Esthetic Risk Assessment
Esthetic Risk Factors | Low | Medium | High |
---|---|---|---|
Medical Status | Healthy | Compromised | |
Smoking Habit | Non-smoker | Light smoker (< 10 cigarettes per day) | Heavy smoker (>= 10 cigarettes per day) |
Patient's Esthetic Expectations | Low | Medium | High |
Lip Line | No exposure of papillae | Exposure of papillae | Full exposure of mucosa margin |
Periodontal Phenotype | Low-scalloped, thick | Medium-scalloped, medium-thick | High-scalloped, thin |
Shape of Tooth Crowns | Rectangular | Triangular | |
Infection at Implant Site | None | Chronic | Acute |
Bone Level at Adjacent Teeth | <= 5 mm to contact point | 5.5 to 6.5 mm to contact point | > 7 mm to contact point |
Prosthodontic Status of Neighboring Teeth | Virgin | Restored | |
Width of Edentulous Span | 1 tooth (>= 7 mm) | 1 tooth (< 7 mm) | 2 teeth or more |
Soft Tissue Anatomy | Intact | Defective | |
Bone Volume | Horizontally and vertically sufficient | Horizontally deficient | Deficient vertically or deficient vertically AND horizontally |
* General SAC assessment modifiers that are also part of the ERA. To avoid redundancy they are listed in this section even if no complete ERA has been made.
** Not applicable to the ERA of immediate placement cases and replaced by "Socket Integrity" listed below under "Surgical SAC Classification". For all other placement types this value is a classification determinant and listed here even if no complete ERA has been made.
Surgical SAC classification
SAC Level | Complex |
---|---|
Defining Characteristics | One missing tooth to be replaced by an implant-borne crown |
Modality | - |
Placement Protocol | Immediate implant placement |
Tooth Site | Maxillary incisor or canine |
Socket Morphology | Single-root socket |
Socket Integrity | Sufficient, with intact bone walls |
Bone Volume | Sufficient, with intact walls |
Anatomic Risk | Low |
Esthetic Risk | High |
Complexity | Moderate |
Risk of Complications | High |
Prosthodontic SAC classification
SAC Level | Complex |
---|---|
Defining Characteristics | One missing tooth to be replaced by an implant-borne crown |
Loading Protocol | Immediate |
Retention | Screw-retained Screw-retained |
Maxillomandibular Relationship | Angle Class I and III |
Mesio-Distal Space | Symmetry +/- 1 mm of contra-lateral tooth |
Inter-Arch Distance | - |
Bruxism | - |
Esthetic Risk | High |
Provisional Implant-Supported Prosthesis | Prosthodontic margin < 3 mm apical to mucosal margin Prosthodontic margin < 3 mm apical to mucosal margin |
Interim Prosthesis during Healing | - - |
Occlusion/Articulation | - |
Occlusal Scheme/Issues | - |
Surgical SAC Modifiers
Periodontal Status | Healthy |
---|
Prosthodontic SAC Modifiers
Soft Tissue Contour and Volume | Ideal |
---|
General SAC Modifiers
Oral Hygiene and Compliance | Sufficient |
---|---|
Access | Adequate |
Craniofacial/Skeletal Growth | Completed |
Share this page
Download the QR code with a link to this page and use it in your presentations or share it on social media.
Download QR code