 
                                Replacement of a Maxillary Right Central Incisor Using an Early Loading Protocol
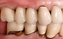
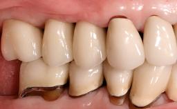
This 23-year-old male presented for consultation and treatment for a missing maxillary right central incisor (tooth 11). His medical history was significant for asthma and light cigarette smoking (a quarter of a pack per day for three to five years). The patient had previously received orthodontic therapy to improve tooth alignment and was satisfied with the esthetic outcome. His periodontal status was considered to be excellent,and his tissue biotype was considered to be thick. His esthetic demands were reasonable and he expressed the desire for a more permanent tooth replacement. The maxillary right central incisor had been lost due to trauma at approximately age 10, and had been originally replaced with a composite-resin interim prosthesis retained by the left central incisor.
 
                                                     
                                 
                                 
                                 
                                 
                                 
                                 
                                 
                                 
                                 
                                General information
| Case Type | Single-Tooth Space | 
|---|---|
| Jaw | Maxilla | 
| Area | Anterior | 
| # of Teeth | 1 | 
| # of Implants | 1 | 
| Type of Implants | One-Piece | 
| Attachment | One-Piece | 
| Bone Augmentation | No | 
|---|---|
| Augmentation Materials | - | 
| Guided Surgery | No | 
| Soft Tissue Grafting | None | 
| Abutment Type | Customized | 
| Prosthesis Type | FDP | 
Esthetic Risk Assessment
| Esthetic Risk Factors | Low | Medium | High | 
|---|---|---|---|
| Medical Status | Healthy | Compromised | |
| Smoking Habit | Non-smoker | Light smoker (< 10 cigarettes per day) | Heavy smoker (>= 10 cigarettes per day) | 
| Patient's Esthetic Expectations | Low | Medium | High | 
| Lip Line | No exposure of papillae | Exposure of papillae | Full exposure of mucosa margin | 
| Periodontal Phenotype | Low-scalloped, thick | Medium-scalloped, medium-thick | High-scalloped, thin | 
| Shape of Tooth Crowns | Rectangular | Triangular | |
| Infection at Implant Site | None | Chronic | Acute | 
| Bone Level at Adjacent Teeth | <= 5 mm to contact point | 5.5 to 6.5 mm to contact point | > 7 mm to contact point | 
| Prosthodontic Status of Neighboring Teeth | Virgin | Restored | |
| Width of Edentulous Span | 1 tooth (>= 7 mm) | 1 tooth (< 7 mm) | 2 teeth or more | 
| Soft Tissue Anatomy | Intact | Defective | |
| Bone Volume | Horizontally and vertically sufficient | Horizontally deficient | Deficient vertically or deficient vertically AND horizontally | 
* General SAC assessment modifiers that are also part of the ERA. To avoid redundancy they are listed in this section even if no complete ERA has been made.
** Not applicable to the ERA of immediate placement cases and replaced by "Socket Integrity" listed below under "Surgical SAC Classification". For all other placement types this value is a classification determinant and listed here even if no complete ERA has been made.
Surgical SAC classification
| SAC Level | Advanced | 
|---|---|
| Defining Characteristics | One missing tooth to be replaced by an implant-borne crown | 
| Modality | - | 
| Placement Protocol | Early or late implant placement | 
| Tooth Site | - | 
| Socket Morphology | - | 
| Socket Integrity | - | 
| Bone Volume | Horizontally and vertically sufficient | 
| Anatomic Risk | Low | 
| Esthetic Risk | High | 
| Complexity | Moderate | 
| Risk of Complications | Moderate | 
Prosthodontic SAC classification
| SAC Level | Complex | 
|---|---|
| Defining Characteristics | One missing tooth to be replaced by an implant-borne crown | 
| Loading Protocol | Conventional or early | 
| Retention | Cemented, with meso-structure Cemented, with meso-structure | 
| Maxillomandibular Relationship | Angle Class I and III | 
| Mesio-Distal Space | Symmetry +/- 1 mm of contra-lateral tooth | 
| Inter-Arch Distance | - | 
| Bruxism | - | 
| Esthetic Risk | High | 
| Provisional Implant-Supported Prosthesis | Prosthodontic margin < 3 mm apical to mucosal margin Prosthodontic margin < 3 mm apical to mucosal margin | 
| Interim Prosthesis during Healing | Fixed Fixed | 
| Occlusion/Articulation | - | 
| Occlusal Scheme/Issues | - | 
Surgical SAC Modifiers
| Periodontal Status | Healthy | 
|---|
Prosthodontic SAC Modifiers
| Soft Tissue Contour and Volume | Ideal | 
|---|
General SAC Modifiers
| Oral Hygiene and Compliance | Good | 
|---|---|
| Access | Adequate | 
| Craniofacial/Skeletal Growth | Completed | 
Share this page
Download the QR code with a link to this page and use it in your presentations or share it on social media.
Download QR code