Case

0.0The average rating is 0 stars out of 5.

Replacement of a Maxillary Right Second Premolar Using an Early Loading Protocol

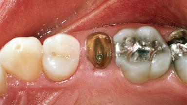
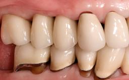
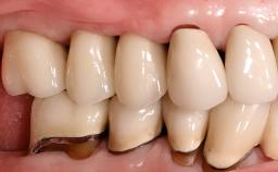
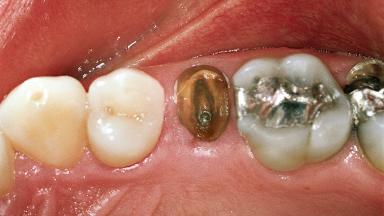
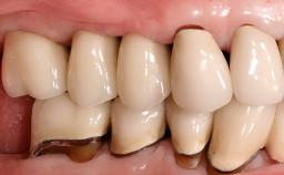
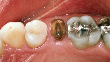
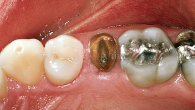
In February 2002, a 31-year-old non-smoking male patient was referred by his dentist after the fracture of the crown of the maxillary right second premolar, tooth 15. The fracture line was located apically to the gingival margin, particularly on the palatal side. Radiographic examination revealed the presence of a previous endodontic treatment with a non-ideal apical seal. There were no signs of periapical osteolysis. The level of the interproximal bone was normal. The patient’s medical history did not reveal any significant findings and he was in good general health.

Surgical SAC classification
Advanced
Prosthodontic SAC classification
Straightforward
Learner Level
Source
Treatment Guide 2
CME/CPD
0.15 hours
Purchase price
10
You must be logged in to access or purchase this item.
There is a wealth of resources you can access by signing up as an ITI Member. Learn more about ITI membership benefits.

General information

Case Type Single-Tooth Space
Jaw Maxilla
Area Posterior
# of Teeth 1
# of Implants 1
Type of Implants One-Piece
Attachment One-Piece
Bone Augmentation Horizontal|Simultaneous
Augmentation Materials Xenogenous
Guided Surgery No
Soft Tissue Grafting -
Abutment Type Standard
Prosthesis Type FDP

Esthetic Risk Assessment

Esthetic Risk Factors Low Medium High
Medical Status Healthy Compromised
Smoking Habit Non-smoker Light smoker (< 10 cigarettes per day) Heavy smoker (>= 10 cigarettes per day)
Patient's Esthetic Expectations Low Medium High
Lip Line No exposure of papillae Exposure of papillae Full exposure of mucosa margin
Periodontal Phenotype Low-scalloped, thick Medium-scalloped, medium-thick High-scalloped, thin
Shape of Tooth Crowns Rectangular Triangular
Infection at Implant Site None Chronic Acute
Bone Level at Adjacent Teeth <= 5 mm to contact point 5.5 to 6.5 mm to contact point > 7 mm to contact point
Prosthodontic Status of Neighboring Teeth Virgin Restored
Width of Edentulous Span 1 tooth (>= 7 mm) 1 tooth (< 7 mm) 2 teeth or more
Soft Tissue Anatomy Intact Defective
Bone Volume Horizontally and vertically sufficient Horizontally deficient Deficient vertically or deficient vertically AND horizontally

* General SAC assessment modifiers that are also part of the ERA. To avoid redundancy they are listed in this section even if no complete ERA has been made.

** Not applicable to the ERA of immediate placement cases and replaced by "Socket Integrity" listed below under "Surgical SAC Classification". For all other placement types this value is a classification determinant and listed here even if no complete ERA has been made.

Surgical SAC classification

SAC Level Advanced
Defining Characteristics One missing tooth to be replaced by an implant-borne crown
Modality -
Placement Protocol Immediate implant placement
Tooth Site Maxillary premolar
Socket Morphology Multi-root socket
Socket Integrity Sufficient, with intact bone walls
Bone Volume Sufficient, with intact walls
Anatomic Risk Low
Esthetic Risk Low
Complexity Moderate
Risk of Complications Moderate

Prosthodontic SAC classification

SAC Level Straightforward
Defining Characteristics One missing tooth to be replaced by an implant-borne crown
Loading Protocol Conventional or early
Retention Cemented, with prosthesis margin < 3mm submucosal Cemented, with prosthesis margin < 3mm submucosal
Maxillomandibular Relationship -
Mesio-Distal Space Anatomic space corresponding to the missing tooth +/- 1 mm
Inter-Arch Distance Ideal tooth height +/- 1 mm
Bruxism Absent
Esthetic Risk Low
Provisional Implant-Supported Prosthesis Prosthodontic margin < 3 mm apical to mucosal margin Prosthodontic margin < 3 mm apical to mucosal margin
Interim Prosthesis during Healing - -
Occlusion/Articulation -
Occlusal Scheme/Issues -

Surgical SAC Modifiers

Periodontal Status Healthy

Prosthodontic SAC Modifiers

Soft Tissue Contour and Volume -

General SAC Modifiers

Oral Hygiene and Compliance Good
Access Adequate
Craniofacial/Skeletal Growth Completed
Publication date: Jan 11, 2015 Last review date: Apr 10, 2023 Next review date: Apr 10, 2026
Clinical Case Treatment Guide 2

ITI QR code Mvc

Share this page

Download the QR code with a link to this page and use it in your presentations or share it on social media.

Download QR code
QR code