Case

0.0The average rating is 0 stars out of 5.

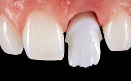
Replacement of a Maxillary Left Canine with a Cemented Crown on an Immediately Placed Bone-Level Tapered Implant Using a One-Abutment, One-Time Approach

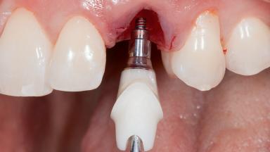
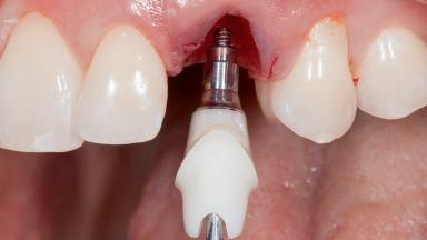
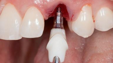
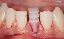
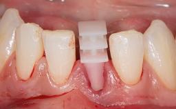
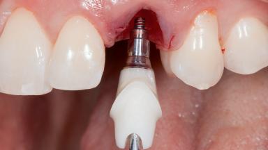
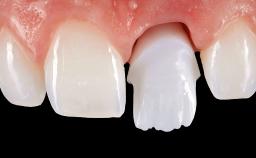
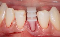
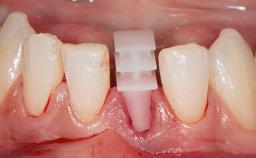
Krzysztof Chmielewski and Björn Roland demonstrate Replacement of a Maxillary Left Canine Using a One-Abutment, One-Time Approach to enhance the peri-implant mucosal integration. This strategy avoided disturbance of the peri-implant mucosal barrier interface at the point where the abutment connects with the implant. The prosthetic elements remained in situ from the day of surgery to delivery of the final crown.

A 42-year-old woman was a regular maintenance patient at our office. During a recall and hygiene appointment, signs of external resorption were noticed on the vestibular root surface of tooth 23. A detailed examination was performed including a CBCT and Esthetic Risk Assessment. The patient, a non-smoker, was in good general health. 

Surgical classification
Complex
Prosthodontic classification
Complex
Learner Level
Source
Treatment Guide 14
CME/CPD
0.25 hours
Purchase price
10
You must be logged in to access or purchase this item.
There is a wealth of resources you can access by signing up as an ITI Member. Learn more about ITI membership benefits.

General Risk Assessment

Patient-related Factors

Smoking Habit None
Oral hygiene Good
Compliance Good
Patient's Expectations High but achievable

Patient-medical Factors

Medical Status Healthy, uneventful healing
Medical Fitness Healthy, able to undergo planned anesthesia and surgical procedure (ASA I)
Medications No medications that would negatively affect the surgical procedure and outcomes.
Radiation Treatment None
Growth Status Complete

Site-related Factors

Periodontal Status No history of periodontal disease, or any active periodontal disease.
Access Adequate
Pathology near the implant site None
Previous surgeries in planned implant site No previous procedures.

Surgical Classification

Surgical Complexity

Timing of placement Immediate Placement (extraction sockets) (Type I)
Simultaneous or Staged grafting procedures Implant placement with simultaneous hard and soft tissue procedures

Anatomy

Bone Volume - Horizontal Deficient but allowing simultaneous augmentation
Bone Volume - Vertical Adequate
Keratinized Tissue Sufficient (>4 mm)
Soft Tissue Quality No scars or inflammation
Proximity to vital anatomic structures Minimal risk of involvement

Adjacent Teeth

Papilla Complete
Recession Present
Interproximal attachment At CEJ

Extractions

Radicular morphology Uniradicular
Available apical bone to achieve primary stability Sufficient height ( ≥ 4 mm) and width (> 2 mm around apex of planned implant)
Socket walls Intact
Thickness of buccal wall less than 2 mm
Anticipated residual defect after implant placement 2 mm or less

Prosthodontic Classification

Complicating Factors

Biological Cement-retained restorations with appropriate contours
Mechanical/Technical Absence of contributing factors

Prosthesis Factors

Prosthetic volume Adequate. Space available for ideal anatomy of the restoration
Inter-occlusal space Adequate. Capable to create an anatomically & functionally correct planned restoration
Volume and characteristics of the edentulous ridge (fixed) Adequate. No adjunctive therapy or prosthetic soft tissue replacement will be necessary

Esthetic Factors

Gingival display at full smile High
Shape of tooth crowns Triangular
Restorative status of neighboring teeth Virgin
Gingival Phenotype High-scalloped, thin
Bone level on adjacent teeth ≤5 mm to contact point

Occlusal Factors

Occlusal scheme User-defined occlusal scheme achievable
Involvement in occlusion Minimal or no involvement
Occlusal parafunction Absent

Complexity

Loading Protocol Immediate
Implant-supported provisional restoration Required, elevated esthetic and/or functional demands
Timing of placement Immediate Placement (extraction sockets) (Type I)

Esthetic Risk Assessment

Esthetic Risk Assessment

Medical Status Healthy, uneventful healing
Smoking Habit None
Gingival display at full smile High
Width of edentulous span 1 tooth (≥ 7mm, standard diameter implant) 1 Tooth (≥ 6mm, narrow diameter implant)
Shape of tooth crowns Triangular
Restorative status of neighboring teeth Virgin
Gingival Phenotype High-scalloped, thin
Infection at implant site None
Bone level on adjacent teeth ≤5 mm to contact point
Thickness of buccal wall less than 2 mm
Patient's Expectations High but achievable
Publication date: Oct 27, 2023 Last review date: Oct 20, 2023 Next review date: Oct 20, 2026
3 - Proficient to Expert Clinical Case Treatment Guide 14

ITI QR code Mvc

Share this page

Download the QR code with a link to this page and use it in your presentations or share it on social media.

Download QR code
QR code