
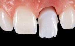
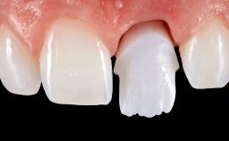
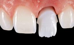
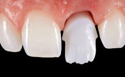
Immediate Implant Placement and Restoration of a Maxillary Left Central Incisor with a Provisional Crown
Leon Pariente and Karim Dada outline the Immediate Implant Placement and Restoration of a Maxillary Left Central Incisor with a Provisional Crown, demonstrating how the hard and soft tissue architecture can be maintained with a Type 1A treatment protocol and a fixed provisional, providing an esthetic and comfortable immediate solution.
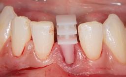
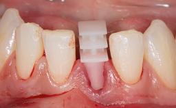
A 34-year-old female patient with high esthetic expectations, a non-smoker with no relevant medical history (ASA class 1), was referred to the practice for replacement of her failing maxillary left central incisor (tooth 21), which exhibited a vertical root fracture as diagnosed by the referring endodontist under the microscope. This case illustrates a type 1A treatment protocol (Gallucci and coworkers 2018) complete with diagnosis, treatment decisions, and clinical and laboratory steps.










General Risk Assessment
Patient-related Factors
Smoking Habit | None |
---|---|
Oral hygiene | Good |
Compliance | Good |
Patient's Expectations | High but achievable |
Patient-medical Factors
Medical Status | Healthy, uneventful healing |
---|---|
Medical Fitness | Healthy, able to undergo planned anesthesia and surgical procedure (ASA I) |
Medications | No medications that would negatively affect the surgical procedure and outcomes. |
Radiation Treatment | None |
Growth Status | Complete |
Site-related Factors
Periodontal Status | No history of periodontal disease, or any active periodontal disease. |
---|---|
Access | Adequate |
Pathology near the implant site | None |
Previous surgeries in planned implant site | No previous procedures. |
Surgical Classification
Surgical Complexity
Timing of placement | Immediate Placement (extraction sockets) (Type I) |
---|---|
Simultaneous or Staged grafting procedures | Implant placement with simultaneous hard and soft tissue procedures |
Anatomy
Bone Volume - Horizontal | Adequate |
---|---|
Bone Volume - Vertical | Adequate |
Keratinized Tissue | Sufficient (>4 mm) |
Soft Tissue Quality | No scars or inflammation |
Proximity to vital anatomic structures | Minimal risk of involvement |
Adjacent Teeth
Papilla | Complete |
---|---|
Recession | Absent |
Interproximal attachment | At CEJ |
Extractions
Radicular morphology | Uniradicular |
---|---|
Available apical bone to achieve primary stability | Sufficient height ( ≥ 4 mm) and width (> 2 mm around apex of planned implant) |
Socket walls | Intact |
Thickness of buccal wall | 2mm or greater |
Anticipated residual defect after implant placement | 2 mm or less |
Prosthodontic Classification
Complicating Factors
Biological | Screw-retained restorations with appropriate contours |
---|---|
Mechanical/Technical | Absence of contributing factors |
Prosthesis Factors
Prosthetic volume | Adequate. Space available for ideal anatomy of the restoration |
---|---|
Inter-occlusal space | Adequate. Capable to create an anatomically & functionally correct planned restoration |
Volume and characteristics of the edentulous ridge (fixed) | Adequate. No adjunctive therapy or prosthetic soft tissue replacement will be necessary |
Esthetic Factors
Gingival display at full smile | Medium |
---|---|
Shape of tooth crowns | Rectangular |
Restorative status of neighboring teeth | Virgin |
Gingival Phenotype | Low-scalloped, thick |
Bone level on adjacent teeth | 5.5 to 6.5 mm to contact point |
Occlusal Factors
Occlusal scheme | User-defined occlusal scheme achievable |
---|---|
Involvement in occlusion | Minimal or no involvement |
Occlusal parafunction | Absent |
Complexity
Loading Protocol | Immediate |
---|---|
Implant-supported provisional restoration | Required, elevated esthetic and/or functional demands |
Timing of placement | Immediate Placement (extraction sockets) (Type I) |
Esthetic Risk Assessment
Esthetic Risk Assessment
Medical Status | Healthy, uneventful healing |
---|---|
Smoking Habit | None |
Gingival display at full smile | Medium |
Width of edentulous span | 1 tooth (≥ 7mm, standard diameter implant) 1 Tooth (≥ 6mm, narrow diameter implant) |
Shape of tooth crowns | Rectangular |
Restorative status of neighboring teeth | Virgin |
Gingival Phenotype | Low-scalloped, thick |
Infection at implant site | None |
Bone level on adjacent teeth | 5.5 to 6.5 mm to contact point |
Thickness of buccal wall | 2mm or greater |
Patient's Expectations | High but achievable |
Share this page
Download the QR code with a link to this page and use it in your presentations or share it on social media.
Download QR code