
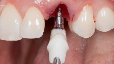
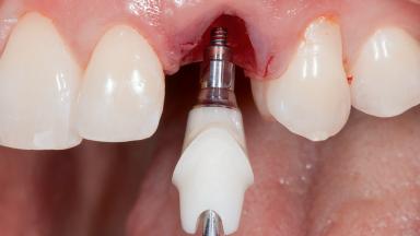
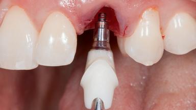
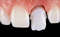
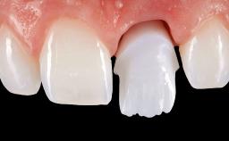
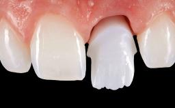
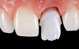
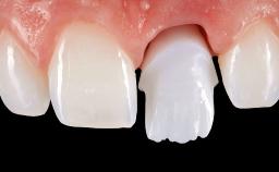
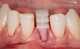
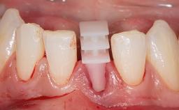
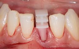
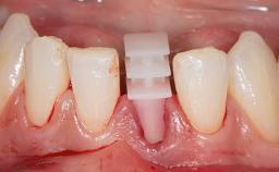
Replacement of a Maxillary Left Canine with a Cemented Crown on an Immediately Placed Bone-Level Tapered Implant Using a One-Abutment, One-Time Approach
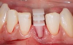
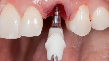
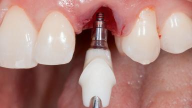
Krzysztof Chmielewski and Björn Roland demonstrate Replacement of a Maxillary Left Canine Using a One-Abutment, One-Time Approach to enhance the peri-implant mucosal integration. This strategy avoided disturbance of the peri-implant mucosal barrier interface at the point where the abutment connects with the implant. The prosthetic elements remained in situ from the day of surgery to delivery of the final crown.
A 42-year-old woman was a regular maintenance patient at our office. During a recall and hygiene appointment, signs of external resorption were noticed on the vestibular root surface of tooth 23. A detailed examination was performed including a CBCT and Esthetic Risk Assessment. The patient, a non-smoker, was in good general health.










General Risk Assessment
Patient-related Factors
Smoking Habit | None |
---|---|
Oral hygiene | Good |
Compliance | Good |
Patient's Expectations | High but achievable |
Patient-medical Factors
Medical Status | Healthy, uneventful healing |
---|---|
Medical Fitness | Healthy, able to undergo planned anesthesia and surgical procedure (ASA I) |
Medications | No medications that would negatively affect the surgical procedure and outcomes. |
Radiation Treatment | None |
Growth Status | Complete |
Site-related Factors
Periodontal Status | No history of periodontal disease, or any active periodontal disease. |
---|---|
Access | Adequate |
Pathology near the implant site | None |
Previous surgeries in planned implant site | No previous procedures. |
Surgical Classification
Surgical Complexity
Timing of placement | Immediate Placement (extraction sockets) (Type I) |
---|---|
Simultaneous or Staged grafting procedures | Implant placement with simultaneous hard and soft tissue procedures |
Anatomy
Bone Volume - Horizontal | Deficient but allowing simultaneous augmentation |
---|---|
Bone Volume - Vertical | Adequate |
Keratinized Tissue | Sufficient (>4 mm) |
Soft Tissue Quality | No scars or inflammation |
Proximity to vital anatomic structures | Minimal risk of involvement |
Adjacent Teeth
Papilla | Complete |
---|---|
Recession | Present |
Interproximal attachment | At CEJ |
Extractions
Radicular morphology | Uniradicular |
---|---|
Available apical bone to achieve primary stability | Sufficient height ( ≥ 4 mm) and width (> 2 mm around apex of planned implant) |
Socket walls | Intact |
Thickness of buccal wall | less than 2 mm |
Anticipated residual defect after implant placement | 2 mm or less |
Prosthodontic Classification
Complicating Factors
Biological | Cement-retained restorations with appropriate contours |
---|---|
Mechanical/Technical | Absence of contributing factors |
Prosthesis Factors
Prosthetic volume | Adequate. Space available for ideal anatomy of the restoration |
---|---|
Inter-occlusal space | Adequate. Capable to create an anatomically & functionally correct planned restoration |
Volume and characteristics of the edentulous ridge (fixed) | Adequate. No adjunctive therapy or prosthetic soft tissue replacement will be necessary |
Esthetic Factors
Gingival display at full smile | High |
---|---|
Shape of tooth crowns | Triangular |
Restorative status of neighboring teeth | Virgin |
Gingival Phenotype | High-scalloped, thin |
Bone level on adjacent teeth | ≤5 mm to contact point |
Occlusal Factors
Occlusal scheme | User-defined occlusal scheme achievable |
---|---|
Involvement in occlusion | Minimal or no involvement |
Occlusal parafunction | Absent |
Complexity
Loading Protocol | Immediate |
---|---|
Implant-supported provisional restoration | Required, elevated esthetic and/or functional demands |
Timing of placement | Immediate Placement (extraction sockets) (Type I) |
Esthetic Risk Assessment
Esthetic Risk Assessment
Medical Status | Healthy, uneventful healing |
---|---|
Smoking Habit | None |
Gingival display at full smile | High |
Width of edentulous span | 1 tooth (≥ 7mm, standard diameter implant) 1 Tooth (≥ 6mm, narrow diameter implant) |
Shape of tooth crowns | Triangular |
Restorative status of neighboring teeth | Virgin |
Gingival Phenotype | High-scalloped, thin |
Infection at implant site | None |
Bone level on adjacent teeth | ≤5 mm to contact point |
Thickness of buccal wall | less than 2 mm |
Patient's Expectations | High but achievable |
Share this page
Download the QR code with a link to this page and use it in your presentations or share it on social media.
Download QR code