
Replacement of a Mandibular Central Incisor with an Immediately Placed Monotype Zirconia Implant
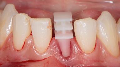
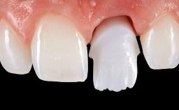
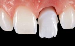
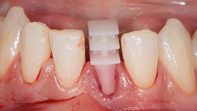
In this case, immediate implant placement and an immediate provisional prosthetic reconstruction (type 1A) were performed by Stefan Röhling and Thomas Borer to reduce the treatment time and to provide the patient with a fixed implant-supported prosthetic reconstruction directly after implant placement.
A 25-year-old male patient had suffered a traumatic loss of tooth 31 as a child. He was a light smoker (less than 10 cigarettes per day) and in good general health, with an otherwise unremarkable medical history.
Tooth 31 had been immediately re-implanted but not endodontically treated, resulting in external root resorption. Later, the tooth did receive endodontic treatment; the apical part of the root was resected, and the crown was stabilized with composite and attached to the neighboring teeth with a wire.










General Risk Assessment
Patient-related Factors
Oral hygiene | Fair |
---|---|
Compliance | Good |
Patient-medical Factors
Medical Fitness | Healthy, able to undergo planned anesthesia and surgical procedure (ASA I) |
---|---|
Medications | No medications that would negatively affect the surgical procedure and outcomes. |
Radiation Treatment | None |
Growth Status | Complete |
Site-related Factors
Periodontal Status | No history of periodontal disease, or any active periodontal disease. |
---|---|
Pathology near the implant site | None |
Previous surgeries in planned implant site | No previous procedures. |
Surgical Classification
Surgical Complexity
Timing of placement | Immediate Placement (extraction sockets) (Type I) |
---|---|
Simultaneous or Staged grafting procedures | Implant placement without adjunctive procedures |
Anatomy
Keratinized Tissue | Minimal (2-4 mm) |
---|---|
Soft Tissue Quality | No scars or inflammation |
Proximity to vital anatomic structures | Minimal risk of involvement |
Adjacent Teeth
Papilla | Complete |
---|---|
Recession | Absent |
Interproximal attachment | At CEJ |
Extractions
Radicular morphology | Uniradicular |
---|---|
Available apical bone to achieve primary stability | Sufficient height ( ≥ 4 mm) and width (> 2 mm around apex of planned implant) |
Socket walls | Intact |
Thickness of buccal wall | 2mm or greater |
Anticipated residual defect after implant placement | 2 mm or less |
Prosthodontic Classification
Complicating Factors
Biological | Cement-retained restorations with appropriate contours |
---|---|
Mechanical/Technical | Presence of non-critical contributing factors |
Prosthesis Factors
Prosthetic volume | Adequate. Space available for ideal anatomy of the restoration |
---|---|
Inter-occlusal space | Adequate. Capable to create an anatomically & functionally correct planned restoration |
Volume and characteristics of the edentulous ridge (fixed) | Adequate. No adjunctive therapy or prosthetic soft tissue replacement will be necessary |
Occlusal Factors
Occlusal scheme | User-defined occlusal scheme achievable |
---|---|
Involvement in occlusion | Involved with guidance |
Occlusal parafunction | Present |
Complexity
Loading Protocol | Immediate |
---|---|
Implant-supported provisional restoration | Required, non-esthetic site and/or functional demands |
Timing of placement | Immediate Placement (extraction sockets) (Type I) |
Share this page
Download the QR code with a link to this page and use it in your presentations or share it on social media.
Download QR code