Case

0.0The average rating is 0 stars out of 5.

Replacement of an Endodontically Compromised Mandibular Left First Molar with Immediate Implant Placement and a Sealing Socket Abutment (SSA)

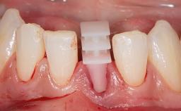
In his case, Garry Finelle outlines a minimally invasive strategy for replacing molars. In this treatment protocol, a customized anatomical healing abutment (SSA) is used to obturate the socket - stabilizing the blood clot, preventing loss of bone augmentation materials, and preventing the collapse of the surrounding soft tissue. 

A 31-year-old woman was referred to the clinic by the endodontist for replacement of the mandibular left first molar (tooth 36) with a dental implant. According to the patient, tooth 36 was sensitive to heat and cold. The patient also reported discomfort and sensitivity during mastication, and mobility of tooth 36. The tooth was vital but sensitive to percussion. The radiographic evaluation showed a large radiolucency surrounding the pulp chamber of tooth 36, which was diagnosed as an irreversible external resorption; the tooth was therefore considered non-restorable.

Surgical classification
Complex
Prosthodontic classification
Straightforward
Learner Level
Source
Treatment Guide 14
CME/CPD
0.25 hours
Purchase price
10
You must be logged in to access or purchase this item.
There is a wealth of resources you can access by signing up as an ITI Member. Learn more about ITI membership benefits.

General Risk Assessment

Patient-related Factors

Oral hygiene Good
Compliance Good

Patient-medical Factors

Medical Fitness Healthy, able to undergo planned anesthesia and surgical procedure (ASA I)
Medications No medications that would negatively affect the surgical procedure and outcomes.
Radiation Treatment None
Growth Status Complete

Site-related Factors

Periodontal Status No history of periodontal disease, or any active periodontal disease.
Access Adequate
Pathology near the implant site None
Previous surgeries in planned implant site No previous procedures.

Surgical Classification

Surgical Complexity

Timing of placement Immediate Placement (extraction sockets) (Type I)
Simultaneous or Staged grafting procedures Implant placement with simultaneous hard and soft tissue procedures

Anatomy

Bone Volume - Horizontal Adequate
Bone Volume - Vertical Adequate
Keratinized Tissue Sufficient (>4 mm)
Soft Tissue Quality No scars or inflammation
Proximity to vital anatomic structures Moderate risk of involvement

Adjacent Teeth

Papilla Complete
Recession Absent
Interproximal attachment At CEJ

Extractions

Radicular morphology Multi-radicular/divergent roots - available interseptal bone
Available apical bone to achieve primary stability Sufficient height ( ≥ 4 mm) and width (> 2 mm around apex of planned implant)
Socket walls Intact
Thickness of buccal wall 2mm or greater
Inter-radicular bone (multi-rooted teeth) Wide - allowing drilling and implant anchorage
Anticipated residual defect after implant placement 2 mm or less

Prosthodontic Classification

Complicating Factors

Biological Screw-retained restorations with appropriate contours
Mechanical/Technical Absence of contributing factors

Prosthesis Factors

Prosthetic volume Adequate. Space available for ideal anatomy of the restoration
Inter-occlusal space Adequate. Capable to create an anatomically & functionally correct planned restoration
Volume and characteristics of the edentulous ridge (fixed) Adequate. No adjunctive therapy or prosthetic soft tissue replacement will be necessary

Occlusal Factors

Occlusal scheme User-defined occlusal scheme achievable
Involvement in occlusion Involvement
Occlusal parafunction Absent

Complexity

Loading Protocol Early/Conventional
Interim prosthesis None required
Implant-supported provisional restoration None required
Timing of placement Immediate Placement (extraction sockets) (Type I)
Publication date: Oct 30, 2023 Last review date: Oct 23, 2023 Next review date: Oct 23, 2026
3 - Proficient to Expert Clinical Case Treatment Guide 14

ITI QR code Mvc

Share this page

Download the QR code with a link to this page and use it in your presentations or share it on social media.

Download QR code
QR code