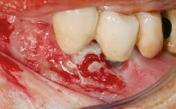
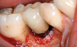
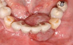
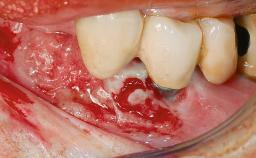
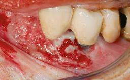
Metal Allergy
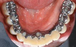
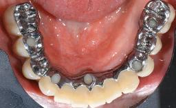
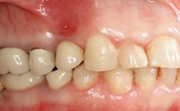
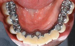
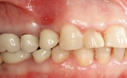
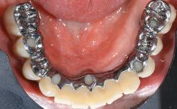
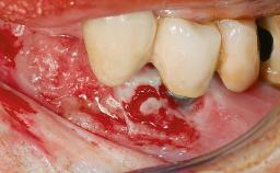
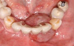
In 2004, the patient, a smoker, began dental treatment at the ACTA graduate clinic. She was a TV producer exposed to a lot of stress in her job and had a sick husband. Her maxillary teeth had been extracted, as had the mandibular canines, premolars, and molars, with the exception of tooth 34. She received a complete maxillary denture and a mandibular skeleton denture. In October 2007, her maxilla was augmented by an oral and maxillofacial surgeon; in March 2008, implants (Biomet 3i, Palm Beach, Florida, USA) were inserted at that same clinic. In 2008, the patient was presented at the Department of Oral Implantology and Prosthetic Dentistry to request restorations for her implants. An implant-supported overdenture was planned. She also asked if we could restore her occlusion with fixed prosthetics.
General information
| Case Type | Edentulous Maxilla |
|---|---|
| Jaw | Maxilla |
| Area | Full-Arch |
| # of Teeth | All |
| # of Implants | 8 |
| Type of Implants | Two-Piece |
| Attachment | Two-Piece |
| Bone Augmentation | Horizontal|Staged |
|---|---|
| Augmentation Materials | Xenogenous |
| Guided Surgery | No |
| Soft Tissue Grafting | None |
| Abutment Type | Standard |
| Prosthesis Type | RDP |
Esthetic Risk Assessment
| Esthetic Risk Factors | Low | Medium | High |
|---|---|---|---|
| Medical Status | Healthy | Compromised | |
| Smoking Habit | Non-smoker | Light smoker (< 10 cigarettes per day) | Heavy smoker (>= 10 cigarettes per day) |
| Patient's Esthetic Expectations | Low | Medium | High |
| Lip Line | No exposure of papillae | Exposure of papillae | Full exposure of mucosa margin |
| Periodontal Phenotype | Low-scalloped, thick | Medium-scalloped, medium-thick | High-scalloped, thin |
| Shape of Tooth Crowns | Rectangular | Triangular | |
| Infection at Implant Site | None | Chronic | Acute |
| Bone Level at Adjacent Teeth | <= 5 mm to contact point | 5.5 to 6.5 mm to contact point | > 7 mm to contact point |
| Prosthodontic Status of Neighboring Teeth | Virgin | Restored | |
| Width of Edentulous Span | 1 tooth (>= 7 mm) | 1 tooth (< 7 mm) | 2 teeth or more |
| Soft Tissue Anatomy | Intact | Defective | |
| Bone Volume | Horizontally and vertically sufficient | Horizontally deficient | Deficient vertically or deficient vertically AND horizontally |
* General SAC assessment modifiers that are also part of the ERA. To avoid redundancy they are listed in this section even if no complete ERA has been made.
** Not applicable to the ERA of immediate placement cases and replaced by "Socket Integrity" listed below under "Surgical SAC Classification". For all other placement types this value is a classification determinant and listed here even if no complete ERA has been made.
Surgical SAC classification
| SAC Level | Complex |
|---|---|
| Defining Characteristics | Fully edentulous upper jaw to be rehabilitated with four or more implants |
| Modality | Overdenture on 4 implants |
| Placement Protocol | - |
| Tooth Site | - |
| Socket Morphology | - |
| Socket Integrity | - |
| Bone Volume | Deficient horizontally, requiring prior grafting |
| Anatomic Risk | Low |
| Esthetic Risk | High |
| Complexity | High |
| Risk of Complications | High |
Prosthodontic SAC classification
| SAC Level | Complex |
|---|---|
| Defining Characteristics | Fully edentulous upper jaw to be rehabilitated with an implant-borne removable overdenture |
| Loading Protocol | Conventional/early |
| Retention | - - |
| Maxillomandibular Relationship | - |
| Mesio-Distal Space | - |
| Inter-Arch Distance | - |
| Bruxism | Absent |
| Esthetic Risk | High |
| Provisional Implant-Supported Prosthesis | - - |
| Interim Prosthesis during Healing | Removable Removable |
| Occlusion/Articulation | - |
| Occlusal Scheme/Issues | Anterior guidance |
Surgical SAC Modifiers
| Periodontal Status | History of periodontitis or genetic predisposition |
|---|
Prosthodontic SAC Modifiers
| Soft Tissue Contour and Volume | - |
|---|
General SAC Modifiers
| Oral Hygiene and Compliance | Sufficient |
|---|---|
| Access | Adequate |
| Craniofacial/Skeletal Growth | Completed |
Share this page
Download the QR code with a link to this page and use it in your presentations or share it on social media.
Download QR code