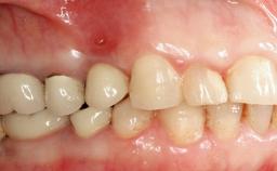
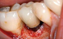
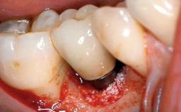
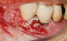
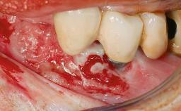
Peripheral Giant-cell Granuloma Associated with Peri-implant Tissues
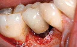
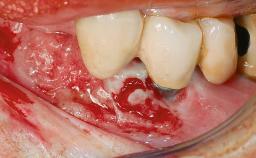
Giant-cell granulomas (GCG) of the jaws are benign reactive lesions of unknown etiology, unrelated to giant-cell tumors (osteoclastomas), which are defined as benign but locally destructive and aggressive neoplasms (Jundt and coworkers 2005). Depending on their localization at the initial diagnosis, GCG are dived into central (CGCG) and peripheral (PGCG) types. CGCGs occur within the jawbones and appear as unilocular or multilocular radiolucent lesions. The incidence in the general population is very low. They are more commonly found in the mandible, mainly in children and young adults—patients are generally younger than 30 years—and have a greater incidence in females (Heithersay and coworkers 2002). The clinical behavior of CGCGs varies from slowly growing asymptomatic swellings to aggressive lesions that may result in pain, cortical perforation of the affected jaw site, and root resorption (de Lange and coworkers 2007).
General information
| Case Type | Extended Space |
|---|---|
| Jaw | Mandible |
| Area | Anterior|Posterior |
| # of Teeth | 10 |
| # of Implants | 5 |
| Type of Implants | One-Piece |
| Attachment | One-Piece |
| Bone Augmentation | No |
|---|---|
| Augmentation Materials | - |
| Guided Surgery | No |
| Soft Tissue Grafting | None |
| Abutment Type | Standard |
| Prosthesis Type | FDP |
Esthetic Risk Assessment
| Esthetic Risk Factors | Low | Medium | High |
|---|---|---|---|
| Medical Status | Healthy | Compromised | |
| Smoking Habit | Non-smoker | Light smoker (< 10 cigarettes per day) | Heavy smoker (>= 10 cigarettes per day) |
| Patient's Esthetic Expectations | Low | Medium | High |
| Lip Line | No exposure of papillae | Exposure of papillae | Full exposure of mucosa margin |
| Periodontal Phenotype | Low-scalloped, thick | Medium-scalloped, medium-thick | High-scalloped, thin |
| Shape of Tooth Crowns | Rectangular | Triangular | |
| Infection at Implant Site | None | Chronic | Acute |
| Bone Level at Adjacent Teeth | <= 5 mm to contact point | 5.5 to 6.5 mm to contact point | > 7 mm to contact point |
| Prosthodontic Status of Neighboring Teeth | Virgin | Restored | |
| Width of Edentulous Span | 1 tooth (>= 7 mm) | 1 tooth (< 7 mm) | 2 teeth or more |
| Soft Tissue Anatomy | Intact | Defective | |
| Bone Volume | Horizontally and vertically sufficient | Horizontally deficient | Deficient vertically or deficient vertically AND horizontally |
* General SAC assessment modifiers that are also part of the ERA. To avoid redundancy they are listed in this section even if no complete ERA has been made.
** Not applicable to the ERA of immediate placement cases and replaced by "Socket Integrity" listed below under "Surgical SAC Classification". For all other placement types this value is a classification determinant and listed here even if no complete ERA has been made.
Surgical SAC classification
| SAC Level | Advanced |
|---|---|
| Defining Characteristics | More than three missing teeth to be replaced with an implant-borne prosthesis or prostheses |
| Modality | - |
| Placement Protocol | Early or late implant placement |
| Tooth Site | - |
| Socket Morphology | - |
| Socket Integrity | - |
| Bone Volume | Horizontally and vertically sufficient |
| Anatomic Risk | Low |
| Esthetic Risk | Medium |
| Complexity | Moderate |
| Risk of Complications | Moderate |
Prosthodontic SAC classification
| SAC Level | Advanced |
|---|---|
| Defining Characteristics | Up to three missing teeth to be replaced with an implant-borne restoration or restorations |
| Loading Protocol | Conventional or early |
| Retention | Screw-retained, with splinted implants Screw-retained, with splinted implants |
| Maxillomandibular Relationship | - |
| Mesio-Distal Space | Adequate for the replacement of all missing teeth |
| Inter-Arch Distance | - |
| Bruxism | Absent |
| Esthetic Risk | Medium |
| Provisional Implant-Supported Prosthesis | Prosthodontic margin < 3 mm apical to mucosal crest Prosthodontic margin < 3 mm apical to mucosal crest |
| Interim Prosthesis during Healing | - - |
| Occlusion/Articulation | Harmonious |
| Occlusal Scheme/Issues | - |
Surgical SAC Modifiers
| Periodontal Status | History of periodontitis or genetic predisposition |
|---|
Prosthodontic SAC Modifiers
| Soft Tissue Contour and Volume | Slightly compromised |
|---|
General SAC Modifiers
| Oral Hygiene and Compliance | Sufficient |
|---|---|
| Access | Adequate |
| Craniofacial/Skeletal Growth | Completed |
Share this page
Download the QR code with a link to this page and use it in your presentations or share it on social media.
Download QR code