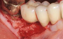
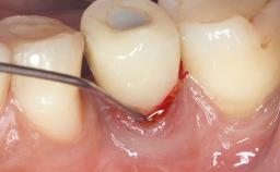
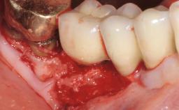
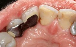
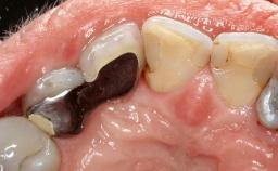
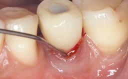
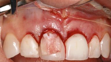
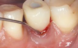
Late Presentation of Peri-Implant Mucositis Requiring Soft-Tissue Augmentation and Esthetic Crown Lengthening at Implant Site 11
Biological or technical complications around implant-supported prostheses place a significant burden on patients as well as the surgical and restorative team. Inflammation of the peri-implant soft tissues is often the first sign that something has gone awry. While there is never a good time for a complication, late presentation of inflammation in the soft tissues around a long-standing prosthesis triggers a period of research and review of the case in order to ascertain the treatment history and its possible contribution to the etiology of the situation. This becomes more complicated in situations where a patient has not received regular maintenance and clinical/radiographical examinations due to personal, financial, or professional reasons. When the complication occurs in the esthetic zone, the complexity of the situation expands exponentially, as the only acceptable outcome in the patient’s eyes will be the maintenance of the esthetics of the prosthesis.
General information
| Case Type | |
|---|---|
| Jaw | - |
| Area | - |
| # of Teeth | - |
| # of Implants | - |
| Type of Implants | - |
| Attachment | - |
| Bone Augmentation | - |
|---|---|
| Augmentation Materials | - |
| Guided Surgery | - |
| Soft Tissue Grafting | - |
| Abutment Type | - |
| Prosthesis Type | - |
Esthetic Risk Assessment
| Esthetic Risk Factors | Low | Medium | High |
|---|---|---|---|
| Medical Status | Healthy | Compromised | |
| Smoking Habit | Non-smoker | Light smoker (< 10 cigarettes per day) | Heavy smoker (>= 10 cigarettes per day) |
| Patient's Esthetic Expectations | Low | Medium | High |
| Lip Line | No exposure of papillae | Exposure of papillae | Full exposure of mucosa margin |
| Periodontal Phenotype | Low-scalloped, thick | Medium-scalloped, medium-thick | High-scalloped, thin |
| Shape of Tooth Crowns | Rectangular | Triangular | |
| Infection at Implant Site | None | Chronic | Acute |
| Bone Level at Adjacent Teeth | <= 5 mm to contact point | 5.5 to 6.5 mm to contact point | > 7 mm to contact point |
| Prosthodontic Status of Neighboring Teeth | Virgin | Restored | |
| Width of Edentulous Span | 1 tooth (>= 7 mm) | 1 tooth (< 7 mm) | 2 teeth or more |
| Soft Tissue Anatomy | Intact | Defective | |
| Bone Volume | Horizontally and vertically sufficient | Horizontally deficient | Deficient vertically or deficient vertically AND horizontally |
* General SAC assessment modifiers that are also part of the ERA. To avoid redundancy they are listed in this section even if no complete ERA has been made.
** Not applicable to the ERA of immediate placement cases and replaced by "Socket Integrity" listed below under "Surgical SAC Classification". For all other placement types this value is a classification determinant and listed here even if no complete ERA has been made.
Surgical SAC classification
| SAC Level | - |
|---|---|
| Defining Characteristics | - |
| Modality | - |
| Placement Protocol | - |
| Tooth Site | - |
| Socket Morphology | - |
| Socket Integrity | - |
| Bone Volume | - |
| Anatomic Risk | - |
| Esthetic Risk | - |
| Complexity | |
| Risk of Complications | - |
Prosthodontic SAC classification
| SAC Level | - |
|---|---|
| Defining Characteristics | - |
| Loading Protocol | - |
| Retention | - |
| Maxillomandibular Relationship | - |
| Mesio-Distal Space | - |
| Inter-Arch Distance | - |
| Bruxism | - |
| Esthetic Risk | - |
| Provisional Implant-Supported Prosthesis | - |
| Interim Prosthesis during Healing | - |
| Occlusion/Articulation | - |
| Occlusal Scheme/Issues | - |
Surgical SAC Modifiers
| Periodontal Status | - |
|---|
Prosthodontic SAC Modifiers
| Soft Tissue Contour and Volume | - |
|---|
General SAC Modifiers
| Oral Hygiene and Compliance | - |
|---|---|
| Access | - |
| Craniofacial/Skeletal Growth | - |
Share this page
Download the QR code with a link to this page and use it in your presentations or share it on social media.
Download QR code