Reconstructive Treatment of a Peri-Implantitis Defect at an Implant in a Mandibular Molar Site
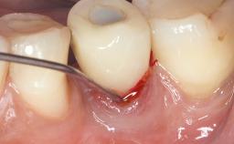
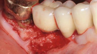
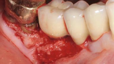
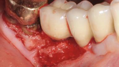
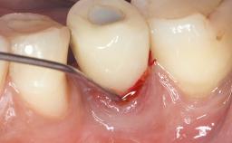
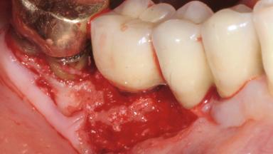
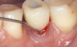
In this case, Mario Roccuzzo utilizes surgical bone regeneration treatment around implant 46 using a bone graft substitute and a connective tissue graft to resolve peri-implant inflammation, reduce the probing depths, and prevent further progression of disease.
A 58-year-old-male patient was referred in February 2007 for implant placement in the right mandibular molar area. Two tissue level implants were inserted at sites 44 and 46, respectively, to support a three-unit fixed dental prosthesis (FDP).
General information
| Case Type | |
|---|---|
| Jaw | - |
| Area | - |
| # of Teeth | - |
| # of Implants | - |
| Type of Implants | - |
| Attachment | - |
| Bone Augmentation | - |
|---|---|
| Augmentation Materials | - |
| Guided Surgery | - |
| Soft Tissue Grafting | - |
| Abutment Type | - |
| Prosthesis Type | - |
Esthetic Risk Assessment
| Esthetic Risk Factors | Low | Medium | High |
|---|---|---|---|
| Medical Status | Healthy | Compromised | |
| Smoking Habit | Non-smoker | Light smoker (< 10 cigarettes per day) | Heavy smoker (>= 10 cigarettes per day) |
| Patient's Esthetic Expectations | Low | Medium | High |
| Lip Line | No exposure of papillae | Exposure of papillae | Full exposure of mucosa margin |
| Periodontal Phenotype | Low-scalloped, thick | Medium-scalloped, medium-thick | High-scalloped, thin |
| Shape of Tooth Crowns | Rectangular | Triangular | |
| Infection at Implant Site | None | Chronic | Acute |
| Bone Level at Adjacent Teeth | <= 5 mm to contact point | 5.5 to 6.5 mm to contact point | > 7 mm to contact point |
| Prosthodontic Status of Neighboring Teeth | Virgin | Restored | |
| Width of Edentulous Span | 1 tooth (>= 7 mm) | 1 tooth (< 7 mm) | 2 teeth or more |
| Soft Tissue Anatomy | Intact | Defective | |
| Bone Volume | Horizontally and vertically sufficient | Horizontally deficient | Deficient vertically or deficient vertically AND horizontally |
* General SAC assessment modifiers that are also part of the ERA. To avoid redundancy they are listed in this section even if no complete ERA has been made.
** Not applicable to the ERA of immediate placement cases and replaced by "Socket Integrity" listed below under "Surgical SAC Classification". For all other placement types this value is a classification determinant and listed here even if no complete ERA has been made.
Surgical SAC classification
| SAC Level | - |
|---|---|
| Defining Characteristics | - |
| Modality | - |
| Placement Protocol | - |
| Tooth Site | - |
| Socket Morphology | - |
| Socket Integrity | - |
| Bone Volume | - |
| Anatomic Risk | - |
| Esthetic Risk | - |
| Complexity | |
| Risk of Complications | - |
Prosthodontic SAC classification
| SAC Level | - |
|---|---|
| Defining Characteristics | - |
| Loading Protocol | - |
| Retention | - |
| Maxillomandibular Relationship | - |
| Mesio-Distal Space | - |
| Inter-Arch Distance | - |
| Bruxism | - |
| Esthetic Risk | - |
| Provisional Implant-Supported Prosthesis | - |
| Interim Prosthesis during Healing | - |
| Occlusion/Articulation | - |
| Occlusal Scheme/Issues | - |
Surgical SAC Modifiers
| Periodontal Status | - |
|---|
Prosthodontic SAC Modifiers
| Soft Tissue Contour and Volume | - |
|---|
General SAC Modifiers
| Oral Hygiene and Compliance | - |
|---|---|
| Access | - |
| Craniofacial/Skeletal Growth | - |
Share this page
Download the QR code with a link to this page and use it in your presentations or share it on social media.
Download QR code