Improving an Existing Implant-supported Denture in an Alzheimer Patient with Bipolar Affective Disorder with Moderate Depression and Dementia
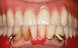
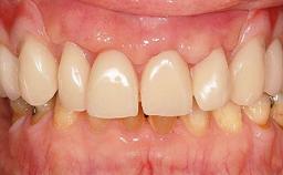
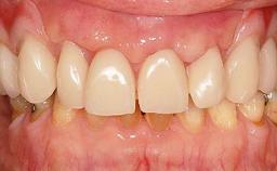
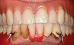
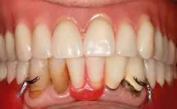
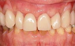
An 83-year-old man presented together with his caregiver at the dental department of the Medical University of Innsbruck, Austria with complaints of swelling in the right maxillary canine area and loss of retention of his 5-years-old mandibular denture. The patient had a significant medical history (20 years) of bipolar affective disorder with moderate depression (F 31.3) and dementia in Alzheimer’s disease (F 00.2). The patient had been in ambulant psychiatric therapy for his depressive illness for the past 20 years. He lived alone and had no children; his sister assisted with daily living. She reported that the patient exhibited compulsive hoarding behavior. In the previous two months, she had noted increasing disorientation and vertigo in the patient. She therefore accompanied him for a medical consultation at the Department of Psychiatry and Psychotherapy of the Medical University of Innsbruck. He was released home after a 6-week inpatient stay.
General information
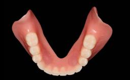
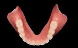
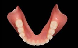
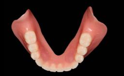
| Case Type | Edentulous Mandible |
|---|---|
| Jaw | Mandible |
| Area | Full-Arch |
| # of Teeth | All |
| # of Implants | 2 |
| Type of Implants | One-Piece |
| Attachment | One-Piece |
| Bone Augmentation | No |
|---|---|
| Augmentation Materials | - |
| Guided Surgery | No |
| Soft Tissue Grafting | None |
| Abutment Type | Standard |
| Prosthesis Type | RDP |
Esthetic Risk Assessment
| Esthetic Risk Factors | Low | Medium | High |
|---|---|---|---|
| Medical Status | Healthy | Compromised | |
| Smoking Habit | Non-smoker | Light smoker (< 10 cigarettes per day) | Heavy smoker (>= 10 cigarettes per day) |
| Patient's Esthetic Expectations | Low | Medium | High |
| Lip Line | No exposure of papillae | Exposure of papillae | Full exposure of mucosa margin |
| Periodontal Phenotype | Low-scalloped, thick | Medium-scalloped, medium-thick | High-scalloped, thin |
| Shape of Tooth Crowns | Rectangular | Triangular | |
| Infection at Implant Site | None | Chronic | Acute |
| Bone Level at Adjacent Teeth | <= 5 mm to contact point | 5.5 to 6.5 mm to contact point | > 7 mm to contact point |
| Prosthodontic Status of Neighboring Teeth | Virgin | Restored | |
| Width of Edentulous Span | 1 tooth (>= 7 mm) | 1 tooth (< 7 mm) | 2 teeth or more |
| Soft Tissue Anatomy | Intact | Defective | |
| Bone Volume | Horizontally and vertically sufficient | Horizontally deficient | Deficient vertically or deficient vertically AND horizontally |
* General SAC assessment modifiers that are also part of the ERA. To avoid redundancy they are listed in this section even if no complete ERA has been made.
** Not applicable to the ERA of immediate placement cases and replaced by "Socket Integrity" listed below under "Surgical SAC Classification". For all other placement types this value is a classification determinant and listed here even if no complete ERA has been made.
Surgical SAC classification
| SAC Level | Straightforward |
|---|---|
| Defining Characteristics | Fully edentulous lower jaw to be rehabilitated with two or more implants |
| Modality | 2 interforaminal implants |
| Placement Protocol | - |
| Tooth Site | - |
| Socket Morphology | - |
| Socket Integrity | - |
| Bone Volume | Horizontally and vertically sufficient |
| Anatomic Risk | Low |
| Esthetic Risk | Low |
| Complexity | Low |
| Risk of Complications | Low |
Prosthodontic SAC classification
| SAC Level | Advanced |
|---|---|
| Defining Characteristics | Fully edentulous lower jaw to be rehabilitated with an implant-borne removable overdenture |
| Loading Protocol | Conventional/early |
| Retention | - - |
| Maxillomandibular Relationship | - |
| Mesio-Distal Space | - |
| Inter-Arch Distance | - |
| Bruxism | Absent |
| Esthetic Risk | Low |
| Provisional Implant-Supported Prosthesis | - - |
| Interim Prosthesis during Healing | Removable Removable |
| Occlusion/Articulation | - |
| Occlusal Scheme/Issues | Balanced |
Surgical SAC Modifiers
| Periodontal Status | History of periodontitis or genetic predisposition |
|---|
Prosthodontic SAC Modifiers
| Soft Tissue Contour and Volume | - |
|---|
General SAC Modifiers
| Oral Hygiene and Compliance | Insufficient |
|---|---|
| Access | Adequate |
| Craniofacial/Skeletal Growth | Completed |
Share this page
Download the QR code with a link to this page and use it in your presentations or share it on social media.
Download QR code