
Improving a Centenarian’s Quality of Life
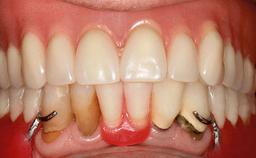
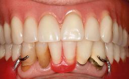
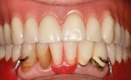
In 2007, a 97-year-old patient presented for treatment at the Geneva Dental School. His dentist had retired. Like many elderly patients, he was left without regular dental care. He lived on a geriatric ward, as he was partly dependent on help with most of the activities of daily living (ADL), such as getting dressed, washing, taking a shower, or climbing stairs. However, he was able to go to the bathroom and get up from bed on his own (ADL score 80, min. 18, max. 126; a low score signifies a high degree of dependency) (Lawton and Brody 1969). He was not bound to a wheelchair, but used a walker. Moreover, he was socially highly active—his family visited on a regular basis and he often went to the restaurant with his friend, who was some 20 years younger. His cognitive function did not seem to be impaired in a normal conversation, although his MMSE score was only 21/30 at that time (Folstein and coworkers 1975). The patient was a retired pharmacist, and his latest passion was astronomy.










General information
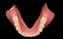
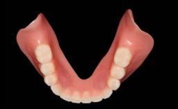
Case Type | Edentulous Mandible |
---|---|
Jaw | Mandible |
Area | Full-Arch |
# of Teeth | All |
# of Implants | 2 |
Type of Implants | One-Piece |
Attachment | One-Piece |
Bone Augmentation | No |
---|---|
Augmentation Materials | - |
Guided Surgery | No |
Soft Tissue Grafting | None |
Abutment Type | Standard |
Prosthesis Type | RDP |
Esthetic Risk Assessment
Esthetic Risk Factors | Low | Medium | High |
---|---|---|---|
Medical Status | Healthy | Compromised | |
Smoking Habit | Non-smoker | Light smoker (< 10 cigarettes per day) | Heavy smoker (>= 10 cigarettes per day) |
Patient's Esthetic Expectations | Low | Medium | High |
Lip Line | No exposure of papillae | Exposure of papillae | Full exposure of mucosa margin |
Periodontal Phenotype | Low-scalloped, thick | Medium-scalloped, medium-thick | High-scalloped, thin |
Shape of Tooth Crowns | Rectangular | Triangular | |
Infection at Implant Site | None | Chronic | Acute |
Bone Level at Adjacent Teeth | <= 5 mm to contact point | 5.5 to 6.5 mm to contact point | > 7 mm to contact point |
Prosthodontic Status of Neighboring Teeth | Virgin | Restored | |
Width of Edentulous Span | 1 tooth (>= 7 mm) | 1 tooth (< 7 mm) | 2 teeth or more |
Soft Tissue Anatomy | Intact | Defective | |
Bone Volume | Horizontally and vertically sufficient | Horizontally deficient | Deficient vertically or deficient vertically AND horizontally |
* General SAC assessment modifiers that are also part of the ERA. To avoid redundancy they are listed in this section even if no complete ERA has been made.
** Not applicable to the ERA of immediate placement cases and replaced by "Socket Integrity" listed below under "Surgical SAC Classification". For all other placement types this value is a classification determinant and listed here even if no complete ERA has been made.
Surgical SAC classification
SAC Level | Straightforward |
---|---|
Defining Characteristics | Fully edentulous lower jaw to be rehabilitated with two or more implants |
Modality | 2 interforaminal implants |
Placement Protocol | - |
Tooth Site | - |
Socket Morphology | - |
Socket Integrity | - |
Bone Volume | Horizontally and vertically sufficient |
Anatomic Risk | Low |
Esthetic Risk | Low |
Complexity | Low |
Risk of Complications | Low |
Prosthodontic SAC classification
SAC Level | Advanced |
---|---|
Defining Characteristics | Fully edentulous lower jaw to be rehabilitated with an implant-borne removable overdenture |
Loading Protocol | Conventional/early |
Retention | - - |
Maxillomandibular Relationship | - |
Mesio-Distal Space | - |
Inter-Arch Distance | - |
Bruxism | Absent |
Esthetic Risk | Low |
Provisional Implant-Supported Prosthesis | - - |
Interim Prosthesis during Healing | Removable Removable |
Occlusion/Articulation | - |
Occlusal Scheme/Issues | Balanced |
Surgical SAC Modifiers
Periodontal Status | History of periodontitis or genetic predisposition |
---|
Prosthodontic SAC Modifiers
Soft Tissue Contour and Volume | - |
---|
General SAC Modifiers
Oral Hygiene and Compliance | Sufficient |
---|---|
Access | Adequate |
Craniofacial/Skeletal Growth | Completed |
Share this page
Download the QR code with a link to this page and use it in your presentations or share it on social media.
Download QR code