Case

0.0The average rating is 0 stars out of 5.

Immediate Replacement of Four Mandibular Anterior Teeth with a Conventionally Loaded Implant-Supported Fixed Dental Prosthesis

This case from German Gallucci, Adam Hamilton, and Teresa Chanting Sun details immediate placement with a conventional loading protocol (type 1C). It demonstrates a digital workflow combined with risk assessment to determine the best possible treatment approach for replacing mandibular anterior teeth.

A 63-year-old female patient was referred by a periodontist for consultation and assessment with regard to implant rehabilitation of the mandibular incisors. The patient presented in good health with no history of smoking or significant medical history. The patient’s chief complaint was mobility of the mandibular anterior dentition. She had a history of periodontal disease, which had been treated and followed by a periodontist with regular maintenance every four months over the previous ten years.

Surgical classification
Complex
Prosthodontic classification
Complex
Learner Level
Source
Treatment Guide 14
CME/CPD
0.25 hours
Purchase price
10
You must be logged in to access or purchase this item.
There is a wealth of resources you can access by signing up as an ITI Member. Learn more about ITI membership benefits.

General Risk Assessment

Patient-related Factors

Oral hygiene Good
Compliance Good

Patient-medical Factors

Medical Fitness Healthy, able to undergo planned anesthesia and surgical procedure (ASA I)
Medications No medications that would negatively affect the surgical procedure and outcomes.
Radiation Treatment None
Growth Status Complete

Site-related Factors

Periodontal Status History of periodontal disease, or active periodontal disease that is controlled and stable.
Pathology near the implant site None
Previous surgeries in planned implant site No previous procedures.

Surgical Classification

Surgical Complexity

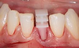
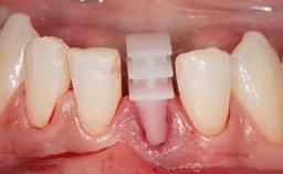
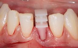
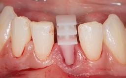
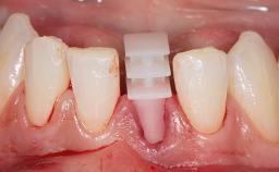
Timing of placement Immediate Placement (extraction sockets) (Type I)
Simultaneous or Staged grafting procedures Implant placement without adjunctive procedures
Number of implants Two - Three

Anatomy

Keratinized Tissue Sufficient (>4 mm)
Soft Tissue Quality No scars or inflammation
Proximity to vital anatomic structures Minimal risk of involvement

Adjacent Teeth

Papilla Deficient
Recession Present
Interproximal attachment Below CEJ

Extractions

Radicular morphology Uniradicular
Available apical bone to achieve primary stability Sufficient height ( ≥ 4 mm) and width (> 2 mm around apex of planned implant)
Socket walls Intact
Thickness of buccal wall 2mm or greater
Anticipated residual defect after implant placement 2 mm or less

Prosthodontic Classification

Complicating Factors

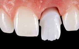
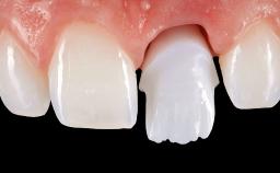
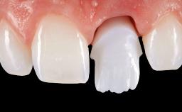
Biological Screw-retained restorations with appropriate contours
Mechanical/Technical Absence of contributing factors
Planned contour of tissue-fitting surfaces Appropriate contours (hygienic - accessible for maintenance)

Prosthesis Factors

Prosthetic volume Adequate. Space available for ideal anatomy of the restoration
Inter-occlusal space Adequate. Capable to create an anatomically & functionally correct planned restoration
Volume and characteristics of the edentulous ridge (fixed) Adequate. No adjunctive therapy or prosthetic soft tissue replacement will be necessary

Occlusal Factors

Occlusal scheme User-defined occlusal scheme achievable
Involvement in occlusion Involved with guidance
Occlusal parafunction Absent

Complexity

Loading Protocol Early/Conventional
Interim prosthesis Tooth supported
Implant-supported provisional restoration Required, elevated esthetic and/or functional demands
Number of implants >2 (non-splinted) or ≥ 2 (splinted)
Timing of placement Immediate Placement (extraction sockets) (Type I)
Publication date: Apr 25, 2024 Last review date: Apr 18, 2024 Next review date: Apr 18, 2027
3 - Proficient to Expert Clinical Case Treatment Guide 14

ITI QR code Mvc

Share this page

Download the QR code with a link to this page and use it in your presentations or share it on social media.

Download QR code
QR code