Case

3.5The average rating is 4 stars out of 5.

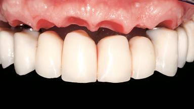
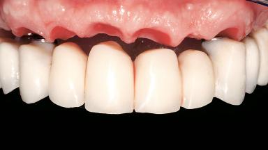
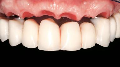
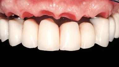
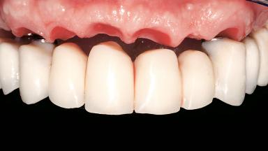
Immediate Loading of Six Implants in the Maxilla and Final Restoration with a Full-Arch CAD/CAM Zirconia FDP

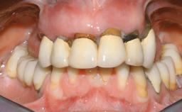
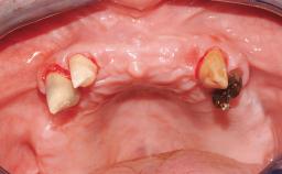
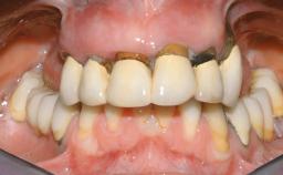
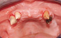
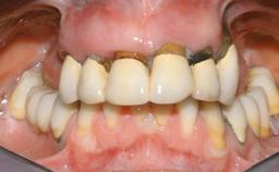
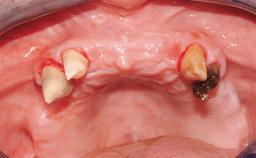
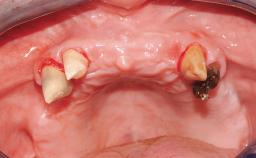
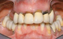
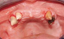
A 63-year-old male patient was referred for a consultation and treatment of partial edentulism in the maxilla. The patient presented with residual anterior teeth and declined a partial removable prosthesis. He reported that the maxillary posterior teeth had been extracted due to mobility and periodontal disease two months before the consultation. The patient’s chief complaint was that his residual maxillary teeth were mobile and that he was unable to chew. The patient’s desire was a stable and comfortable fixed maxillary rehabilitation. The patient was a light smoker (fewer than 10 cigarettes/ day), and his medical history was without significant findings. He was not on any regular medication at the time of consultation. The extraoral examination revealed a normal physiognomy with a correct distribution of the facial thirds. The patient presented a low lip line, and the transition line between teeth and soft tissues was not exposed during a forced smile.

Surgical SAC classification
Complex
Prosthodontic SAC classification
Complex
Learner Level
Source
Treatment Guide 4
CME/CPD
0.25 hours
Purchase price
10
You must be logged in to access or purchase this item.
There is a wealth of resources you can access by signing up as an ITI Member. Learn more about ITI membership benefits.

General information

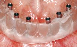
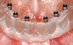
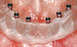
Case Type Edentulous Maxilla
Jaw Maxilla
Area Full-Arch
# of Teeth All
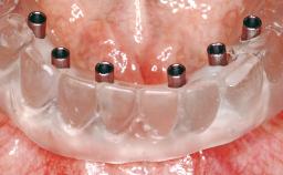
# of Implants 6
Type of Implants One-Piece
Attachment One-Piece
Bone Augmentation Horizontal|Simultaneous
Augmentation Materials Xenogenous
Guided Surgery No
Soft Tissue Grafting None
Abutment Type CAD/CAM
Prosthesis Type FDP

Esthetic Risk Assessment

Esthetic Risk Factors Low Medium High
Medical Status Healthy Compromised
Smoking Habit Non-smoker Light smoker (< 10 cigarettes per day) Heavy smoker (>= 10 cigarettes per day)
Patient's Esthetic Expectations Low Medium High
Lip Line No exposure of papillae Exposure of papillae Full exposure of mucosa margin
Periodontal Phenotype Low-scalloped, thick Medium-scalloped, medium-thick High-scalloped, thin
Shape of Tooth Crowns Rectangular Triangular
Infection at Implant Site None Chronic Acute
Bone Level at Adjacent Teeth <= 5 mm to contact point 5.5 to 6.5 mm to contact point > 7 mm to contact point
Prosthodontic Status of Neighboring Teeth Virgin Restored
Width of Edentulous Span 1 tooth (>= 7 mm) 1 tooth (< 7 mm) 2 teeth or more
Soft Tissue Anatomy Intact Defective
Bone Volume Horizontally and vertically sufficient Horizontally deficient Deficient vertically or deficient vertically AND horizontally

* General SAC assessment modifiers that are also part of the ERA. To avoid redundancy they are listed in this section even if no complete ERA has been made.

** Not applicable to the ERA of immediate placement cases and replaced by "Socket Integrity" listed below under "Surgical SAC Classification". For all other placement types this value is a classification determinant and listed here even if no complete ERA has been made.

Surgical SAC classification

SAC Level Complex
Defining Characteristics Fully edentulous upper jaw to be rehabilitated with four or more implants
Modality 6+ implants with immediate loading
Placement Protocol -
Tooth Site -
Socket Morphology -
Socket Integrity -
Bone Volume Horizontally and vertically sufficient
Anatomic Risk Low
Esthetic Risk Medium
Complexity High
Risk of Complications High

Prosthodontic SAC classification

SAC Level Complex
Defining Characteristics Fully edentulous upper jaw to be rehabilitated with an implant-borne fixed dental prosthesis
Loading Protocol Immediate
Retention Cemented, with prosthesis margin < 3mm submucosal Cemented, with prosthesis margin < 3mm submucosal
Maxillomandibular Relationship -
Mesio-Distal Space -
Inter-Arch Distance Average
Bruxism Absent
Esthetic Risk Medium
Provisional Implant-Supported Prosthesis Prosthodontic margin < 3 mm apical to mucosal crest Prosthodontic margin < 3 mm apical to mucosal crest
Interim Prosthesis during Healing - -
Occlusion/Articulation -
Occlusal Scheme/Issues Anterior guidance

Surgical SAC Modifiers

Periodontal Status History of periodontitis or genetic predisposition

Prosthodontic SAC Modifiers

Soft Tissue Contour and Volume Slightly compromised

General SAC Modifiers

Oral Hygiene and Compliance Sufficient
Access Adequate
Craniofacial/Skeletal Growth Completed
Publication date: Jan 11, 2015 Last review date: Apr 10, 2024 Next review date: Apr 10, 2027
3 - Proficient to Expert Clinical Case Treatment Guide 4

ITI QR code Mvc

Share this page

Download the QR code with a link to this page and use it in your presentations or share it on social media.

Download QR code
QR code