Bilateral Horizontal Ridge Augmentation with Block Bone Grafts Using a Piezoelectric Device for Fixed Implant Restoration
A woman in her mid-fifties was referred by a dental student for dental implant placement. Both posterior segments of the mandible had been edentulous for more than 4 years, the only residual tooth being the right lower first premolar. The patient had used a removable partial denture but was not entirely satisfied with its function. The clinical examination revealed a sharp edentulous ridge in both posterior segments of the mandible, and the patient was told that it would not be possible to insert implants into this thin edentulous ridge without significant augmentation of the alveolar ridge. Her medical history revealed no significant findings and no underlying disease that might have complicated surgical procedures. During the presurgical examination, the patient reported that she was a little apprehensive about bone grafting. After being informed about the surgical procedures and potential postoperative complications, she accepted the proposed surgical plan of bone grafting and subsequent placement of implants.
                                                    
                                
                                
                                
                                
                                
                                
                                
                                
                                General information
| Case Type | Extended Space | 
|---|---|
| Jaw | Mandible | 
| Area | Posterior | 
| # of Teeth | 7 | 
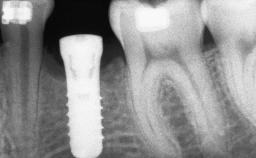
| # of Implants | 5 | 
| Type of Implants | One-Piece | 
| Attachment | One-Piece | 
| Bone Augmentation | Horizontal|Staged | 
|---|---|
| Augmentation Materials | Autogenous block(s)|Xenogenous|Membrane | 
| Guided Surgery | No | 
| Soft Tissue Grafting | None | 
| Abutment Type | Standard | 
| Prosthesis Type | FDP | 
Esthetic Risk Assessment
| Esthetic Risk Factors | Low | Medium | High | 
|---|---|---|---|
| Medical Status | Healthy | Compromised | |
| Smoking Habit | Non-smoker | Light smoker (< 10 cigarettes per day) | Heavy smoker (>= 10 cigarettes per day) | 
| Patient's Esthetic Expectations | Low | Medium | High | 
| Lip Line | No exposure of papillae | Exposure of papillae | Full exposure of mucosa margin | 
| Periodontal Phenotype | Low-scalloped, thick | Medium-scalloped, medium-thick | High-scalloped, thin | 
| Shape of Tooth Crowns | Rectangular | Triangular | |
| Infection at Implant Site | None | Chronic | Acute | 
| Bone Level at Adjacent Teeth | <= 5 mm to contact point | 5.5 to 6.5 mm to contact point | > 7 mm to contact point | 
| Prosthodontic Status of Neighboring Teeth | Virgin | Restored | |
| Width of Edentulous Span | 1 tooth (>= 7 mm) | 1 tooth (< 7 mm) | 2 teeth or more | 
| Soft Tissue Anatomy | Intact | Defective | |
| Bone Volume | Horizontally and vertically sufficient | Horizontally deficient | Deficient vertically or deficient vertically AND horizontally | 
* General SAC assessment modifiers that are also part of the ERA. To avoid redundancy they are listed in this section even if no complete ERA has been made.
** Not applicable to the ERA of immediate placement cases and replaced by "Socket Integrity" listed below under "Surgical SAC Classification". For all other placement types this value is a classification determinant and listed here even if no complete ERA has been made.
Surgical SAC classification
| SAC Level | Complex | 
|---|---|
| Defining Characteristics | More than three missing teeth to be replaced with an implant-borne prosthesis or prostheses | 
| Modality | - | 
| Placement Protocol | Early or late implant placement | 
| Tooth Site | - | 
| Socket Morphology | - | 
| Socket Integrity | - | 
| Bone Volume | Deficient horizontally, requiring prior grafting | 
| Anatomic Risk | Moderate | 
| Esthetic Risk | Low | 
| Complexity | High | 
| Risk of Complications | Moderate | 
Prosthodontic SAC classification
| SAC Level | Straightforward | 
|---|---|
| Defining Characteristics | Up to three missing teeth to be replaced with an implant-borne restoration or restorations | 
| Loading Protocol | Conventional or early | 
| Retention | Cemented, with prosthesis margin < 3mm submucosal Cemented, with prosthesis margin < 3mm submucosal | 
| Maxillomandibular Relationship | - | 
| Mesio-Distal Space | Anatomic space corresponding to the missing teeth +/- 1 mm | 
| Inter-Arch Distance | > 8 mm | 
| Bruxism | Absent | 
| Esthetic Risk | Low | 
| Provisional Implant-Supported Prosthesis | - - | 
| Interim Prosthesis during Healing | Removable Removable | 
| Occlusion/Articulation | Irregular with no need for correction | 
| Occlusal Scheme/Issues | - | 
Surgical SAC Modifiers
| Periodontal Status | History of periodontitis or genetic predisposition | 
|---|
Prosthodontic SAC Modifiers
| Soft Tissue Contour and Volume | - | 
|---|
General SAC Modifiers
| Oral Hygiene and Compliance | Sufficient | 
|---|---|
| Access | Adequate | 
| Craniofacial/Skeletal Growth | Completed | 
Share this page
Download the QR code with a link to this page and use it in your presentations or share it on social media.
Download QR code