Rehabilitation of a Mandibular Distal Extension Situation in a 89-year-old Patient with an Implant-supported Fixed Dental Prosthesis
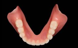
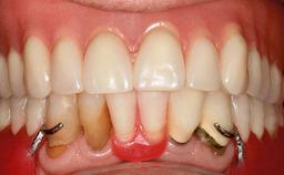
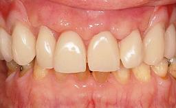
A 89-year-old female patient had been referred to the Department of Oral Surgery and Stomatology at the University of Bern for consideration of implant therapy. A long-standing three-unit fixed dental prosthesis (FDP) supported by teeth 45 and 47 showed a loss of retention due to deep secondary caries at tooth 45. The referring dentist removed this tooth prior to referral. At that time, the patient had already undergone implant therapy at our department twice, at the age of 85, at which time hopeless maxillary premolars and molars had to be removed bilaterally. Implant-supported FDPs in both quadrants were provided by the referring dentist following implant surgery at our department, since the patient could not adapt to a removable dental prosthesis in the maxilla.
General information
| Case Type | Short Space |
|---|---|
| Jaw | Mandible |
| Area | Posterior |
| # of Teeth | 3 |
| # of Implants | 2 |
| Type of Implants | One-Piece|Reduced-Diameter |
| Attachment | One-Piece|Reduced-Diameter |
| Bone Augmentation | No |
|---|---|
| Augmentation Materials | - |
| Guided Surgery | No |
| Soft Tissue Grafting | None |
| Abutment Type | Customized |
| Prosthesis Type | FDP |
Esthetic Risk Assessment
| Esthetic Risk Factors | Low | Medium | High |
|---|---|---|---|
| Medical Status | Healthy | Compromised | |
| Smoking Habit | Non-smoker | Light smoker (< 10 cigarettes per day) | Heavy smoker (>= 10 cigarettes per day) |
| Patient's Esthetic Expectations | Low | Medium | High |
| Lip Line | No exposure of papillae | Exposure of papillae | Full exposure of mucosa margin |
| Periodontal Phenotype | Low-scalloped, thick | Medium-scalloped, medium-thick | High-scalloped, thin |
| Shape of Tooth Crowns | Rectangular | Triangular | |
| Infection at Implant Site | None | Chronic | Acute |
| Bone Level at Adjacent Teeth | <= 5 mm to contact point | 5.5 to 6.5 mm to contact point | > 7 mm to contact point |
| Prosthodontic Status of Neighboring Teeth | Virgin | Restored | |
| Width of Edentulous Span | 1 tooth (>= 7 mm) | 1 tooth (< 7 mm) | 2 teeth or more |
| Soft Tissue Anatomy | Intact | Defective | |
| Bone Volume | Horizontally and vertically sufficient | Horizontally deficient | Deficient vertically or deficient vertically AND horizontally |
* General SAC assessment modifiers that are also part of the ERA. To avoid redundancy they are listed in this section even if no complete ERA has been made.
** Not applicable to the ERA of immediate placement cases and replaced by "Socket Integrity" listed below under "Surgical SAC Classification". For all other placement types this value is a classification determinant and listed here even if no complete ERA has been made.
Surgical SAC classification
| SAC Level | Straightforward |
|---|---|
| Defining Characteristics | Up to three missing teeth to be replaced with an implant-borne prosthesis or prostheses |
| Modality | - |
| Placement Protocol | Early or late implant placement |
| Tooth Site | - |
| Socket Morphology | - |
| Socket Integrity | - |
| Bone Volume | Horizontally and vertically sufficient |
| Anatomic Risk | Low |
| Esthetic Risk | Low |
| Complexity | Low |
| Risk of Complications | Low |
Prosthodontic SAC classification
| SAC Level | Straightforward |
|---|---|
| Defining Characteristics | Up to three missing teeth to be replaced with an implant-borne restoration or restorations |
| Loading Protocol | Conventional or early |
| Retention | Screw-retained, with 2 splinted implants Screw-retained, with 2 splinted implants |
| Maxillomandibular Relationship | - |
| Mesio-Distal Space | Anatomic space corresponding to the missing teeth +/- 1 mm |
| Inter-Arch Distance | > 8 mm |
| Bruxism | Absent |
| Esthetic Risk | Low |
| Provisional Implant-Supported Prosthesis | - - |
| Interim Prosthesis during Healing | - - |
| Occlusion/Articulation | Harmonious |
| Occlusal Scheme/Issues | - |
Surgical SAC Modifiers
| Periodontal Status | Healthy |
|---|
Prosthodontic SAC Modifiers
| Soft Tissue Contour and Volume | - |
|---|
General SAC Modifiers
| Oral Hygiene and Compliance | Sufficient |
|---|---|
| Access | Adequate |
| Craniofacial/Skeletal Growth | Completed |
Share this page
Download the QR code with a link to this page and use it in your presentations or share it on social media.
Download QR code