Young ITI Lounge: Screw vs Cement-retained Implant Prosthesis
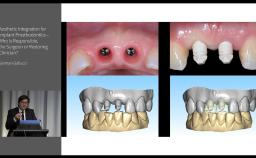
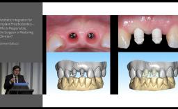
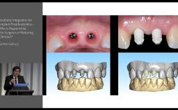
This session aims to provide a comprehensive comparison between screw-retained and cement-retained implant prostheses. The focus is on the clinical performance, including complications and failures, of implant-supported reconstructions in patients with edentulous sites treated with either screw or cement retention. The discussion also explores the advantages and disadvantages of both methods, providing a balanced perspective for clinicians.
Young ITI Lounge aims to provide high level discussions on trending topics within the Young ITI, featuring young clinicians from the SEA Region together with Young ITI clinicians from other parts of the world.
At the end of this webinar, you should be able to...
- discuss the differences between screw-retained and cement-retained implant prostheses in clinical performance, including complications and failures
- explain the advantages and disadvantages of both cement- and screw-retained implant-supported reconstructions
- elaborate on the variety of methods to connect a restoration to the implant other than just cement or screw retention
Share this page
Download the QR code with a link to this page and use it in your presentations or share it on social media.
Download QR code