Congress Lecture

0.0The average rating is 0 stars out of 5.
Prosthodontic Planning and Procedures

The Interdisciplinary Treatment Plan in Implant Dentistry ‒ What the Surgeon Needs to Know from the Prosthodontist

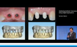
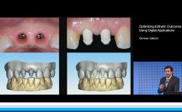
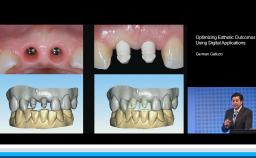
Part one of a two-part presentation gives a comprehensive overview of how to treat complex cases using an interdisciplinary approach in implant dentistry. From the prosthodontist’s point of view, the workflow starts with careful prosthetic planning by the use of wax-ups or set-ups, and in some cases orthodontic pretreatment is indicated. This lecture demonstrates how the prosthetic planning is then transferred by surgical templates to facilitate the correct 3D prosthodontically driven implant placement. In this workflow, the provisional prosthesis conditions the soft tissue in order to optimize esthetics prior to finalizing the prosthetic rehabilitation. This lecture includes a series of ‘Prosthetic Rules’ to serve as benchmarks for effective prosthodontically driven treatment.

At the end of this Congress Lecture you should be able to…

  • discuss the need for a multidisciplinary approach integrating prosthetic and surgical issues in implant dentistry
  • describe the workflow of careful prosthetic planning, surgical templates during implant placement, provisional prosthesis with soft tissue conditioning, and final rehabilitation
Duration
61 min.
Learner Level
Event
ITI Congress Turkey & Azerbaijan 2016
CME/CPD
1.03 hours
Purchase price
31
You must be logged in to access or purchase this item.
There is a wealth of resources you can access by signing up as an ITI Member. Learn more about ITI membership benefits.
Publication date: May 4, 2017 Last review date: Apr 28, 2023 Next review date: Apr 28, 2026
3 - Proficient to Expert Congress Lecture English Languages Prosthodontic Planning & Procedures

ITI QR code Mvc

Share this page

Download the QR code with a link to this page and use it in your presentations or share it on social media.

Download QR code
QR code