
Interdisciplinary Esthetic Approach
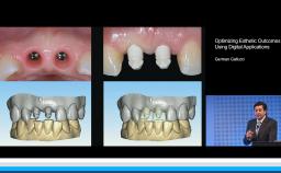
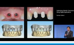
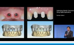
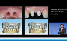
Esthetically challenging cases often involve two or more specialized clinicians working together throughout the treatment phases. This step-by-step cooperation is crucial to arriving at a pleasing esthetic result. This lecture presents various situations of compromised teeth and implants in which an interdisciplinary approach and modification are indicated. The rationale for predictable treatment and some clinical tips are also discussed.

At the end of this Congress Lecture you should be able to…
- describe the esthetic risk factors for treatment of the anterior region
- discuss tissue modification around teeth and implants
- indicate the different uses of ceramics as final prostheses









Share this page
Download the QR code with a link to this page and use it in your presentations or share it on social media.
Download QR code