How to Use GBR in Implant Patients
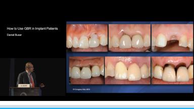
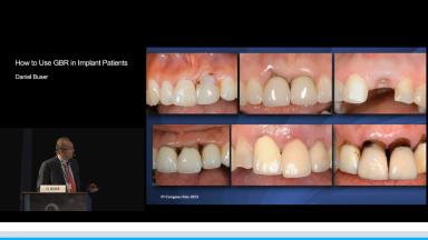
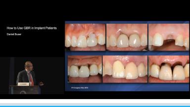
Guided Bone Regeneration is a proven and predictable surgical technique to regenerate local bone defects at potential implant sites. The GBR technique can be used in most cases with a simultaneous approach, at the time of implant placement. In cases with extended bone defects, a staged approach is necessary with ridge augmentation first and implant placement 4 to 6 months later.
This lecture provides an overview of the application of GBR in implant patients with an emphasis on the following two clinical situations:
- Implant placement with simultaneous GBR
- Surgical management of esthetic complications using GBR
Share this page
Download the QR code with a link to this page and use it in your presentations or share it on social media.
Download QR code